Antibody data
- Antibody Data
- Antigen structure
- References [30]
- Comments [0]
- Validations
- Western blot [9]
- Immunohistochemistry [3]
Submit
Validation data
Reference
Comment
Report error
- Product number
- GTX100034 - Provider product page

- Provider
- GeneTex
- Proper citation
- GeneTex Cat#GTX100034, RRID:AB_1240408
- Product name
- alpha Smooth Muscle Actin antibody
- Antibody type
- Polyclonal
- Reactivity
- Human, Mouse, Rat, Zebrafish
- Host
- Rabbit
Submitted references Connective tissue growth factor mediates transforming growth factor β-induced collagen expression in human endometrial stromal cells.
Human dendritic cell-specific ICAM-3-grabbing non-integrin downstream signaling alleviates renal fibrosis via Raf-1 activation in systemic candidiasis.
Reciprocal activation of cancer-associated fibroblasts and oral squamous carcinoma cells through CXCL1.
Epithelial to Mesenchymal Transition in Human Mesothelial Cells Exposed to Asbestos Fibers: Role of TGF-β as Mediator of Malignant Mesothelioma Development or Metastasis via EMT Event.
Melatonin Inhibits in Vitro Smooth Muscle Cell Inflammation and Proliferation and Atherosclerosis in Apolipoprotein E-Deficient Mice.
Fucoidan Inhibits the Proliferation of Leiomyoma Cells and Decreases Extracellular Matrix-Associated Protein Expression.
Bushenshugan Formula Attenuates the Development of Lung Cancer by Inhibiting Epithelial-Mesenchymal Transition.
Probiotic supplements prevented oxonic acid-induced hyperuricemia and renal damage.
SIRT3 deficiency leads to induction of abnormal glycolysis in diabetic kidney with fibrosis.
Generation of MLC-2v-tdTomato knock-in reporter mouse line.
Lung fibroblasts promote metastatic colonization through upregulation of stearoyl-CoA desaturase 1 in tumor cells.
Activation of fibroblasts by nicotine promotes the epithelial-mesenchymal transition and motility of breast cancer cells.
RhoA, Rac1, and Cdc42 differentially regulate αSMA and collagen I expression in mesenchymal stem cells.
RGC-32 regulates reactive astrocytosis and extracellular matrix deposition in experimental autoimmune encephalomyelitis.
Invasive Pituitary Adenoma-Derived Tumor-Associated Fibroblasts Promote Tumor Progression both In Vitro and In Vivo.
A tumor vessel-targeting fusion protein elicits a chemotherapeutic bystander effect in pancreatic ductal adenocarcinoma.
Combinatorial therapy with three-dimensionally cultured adipose-derived stromal cells and self-assembling peptides to enhance angiogenesis and preserve cardiac function in infarcted hearts.
Dietary low-fat soy milk powder retards diabetic nephropathy progression via inhibition of renal fibrosis and renal inflammation.
Guidance to rational use of pharmaceuticals in gallbladder sarcomatoid carcinoma using patient-derived cancer cells and whole exome sequencing.
The Role of Butylidenephthalide in Targeting the Microenvironment Which Contributes to Liver Fibrosis Amelioration.
Collagen XII Contributes to Epicardial and Connective Tissues in the Zebrafish Heart during Ontogenesis and Regeneration.
Editor's Highlight: Abrasion of Artificial Stones as a New Cause of an Ancient Disease. Physicochemical Features and Cellular Responses.
Effect of Antifibrotic MicroRNAs Crosstalk on the Action of N-acetyl-seryl-aspartyl-lysyl-proline in Diabetes-related Kidney Fibrosis.
Treatment of hind limb ischemia using angiogenic peptide nanofibers.
Pigment epithelium-derived factor 34-mer peptide prevents liver fibrosis and hepatic stellate cell activation through down-regulation of the PDGF receptor.
Inhibition of fibrous adhesion formation in the temporomandibular joint of tenascin-C knockout mice.
Linagliptin-mediated DPP-4 inhibition ameliorates kidney fibrosis in streptozotocin-induced diabetic mice by inhibiting endothelial-to-mesenchymal transition in a therapeutic regimen.
Modelling human development and disease in pluripotent stem-cell-derived gastric organoids.
Erythrocytosis and pulmonary hypertension in a mouse model of human HIF2A gain of function mutation.
The regenerative capacity of the zebrafish heart is dependent on TGFβ signaling.
Cheong ML, Lai TH, Wu WB
PloS one 2019;14(1):e0210765
PloS one 2019;14(1):e0210765
Human dendritic cell-specific ICAM-3-grabbing non-integrin downstream signaling alleviates renal fibrosis via Raf-1 activation in systemic candidiasis.
Chen WY, Wu SY, Lin TC, Lin SL, Wu-Hsieh BA
Cellular & molecular immunology 2019 Mar;16(3):288-301
Cellular & molecular immunology 2019 Mar;16(3):288-301
Reciprocal activation of cancer-associated fibroblasts and oral squamous carcinoma cells through CXCL1.
Wei LY, Lee JJ, Yeh CY, Yang CJ, Kok SH, Ko JY, Tsai FC, Chia JS
Oral oncology 2019 Jan;88:115-123
Oral oncology 2019 Jan;88:115-123
Epithelial to Mesenchymal Transition in Human Mesothelial Cells Exposed to Asbestos Fibers: Role of TGF-β as Mediator of Malignant Mesothelioma Development or Metastasis via EMT Event.
Turini S, Bergandi L, Gazzano E, Prato M, Aldieri E
International journal of molecular sciences 2019 Jan 3;20(1)
International journal of molecular sciences 2019 Jan 3;20(1)
Melatonin Inhibits in Vitro Smooth Muscle Cell Inflammation and Proliferation and Atherosclerosis in Apolipoprotein E-Deficient Mice.
Li HY, Leu YL, Wu YC, Wang SH
Journal of agricultural and food chemistry 2019 Feb 20;67(7):1889-1901
Journal of agricultural and food chemistry 2019 Feb 20;67(7):1889-1901
Fucoidan Inhibits the Proliferation of Leiomyoma Cells and Decreases Extracellular Matrix-Associated Protein Expression.
Chen HY, Huang TC, Lin LC, Shieh TM, Wu CH, Wang KL, Hong YH, Hsia SM
Cellular physiology and biochemistry : international journal of experimental cellular physiology, biochemistry, and pharmacology 2018;49(5):1970-1986
Cellular physiology and biochemistry : international journal of experimental cellular physiology, biochemistry, and pharmacology 2018;49(5):1970-1986
Bushenshugan Formula Attenuates the Development of Lung Cancer by Inhibiting Epithelial-Mesenchymal Transition.
Fan Z, Xue W, Dou M, Li L, Lu J, Ma B, Deng X, Zhang M, Zhai Y, Wang S, Zhao J
Cellular physiology and biochemistry : international journal of experimental cellular physiology, biochemistry, and pharmacology 2018;47(5):1977-1988
Cellular physiology and biochemistry : international journal of experimental cellular physiology, biochemistry, and pharmacology 2018;47(5):1977-1988
Probiotic supplements prevented oxonic acid-induced hyperuricemia and renal damage.
García-Arroyo FE, Gonzaga G, Muñoz-Jiménez I, Blas-Marron MG, Silverio O, Tapia E, Soto V, Ranganathan N, Ranganathan P, Vyas U, Irvin A, Ir D, Robertson CE, Frank DN, Johnson RJ, Sánchez-Lozada LG
PloS one 2018;13(8):e0202901
PloS one 2018;13(8):e0202901
SIRT3 deficiency leads to induction of abnormal glycolysis in diabetic kidney with fibrosis.
Srivastava SP, Li J, Kitada M, Fujita H, Yamada Y, Goodwin JE, Kanasaki K, Koya D
Cell death & disease 2018 Sep 24;9(10):997
Cell death & disease 2018 Sep 24;9(10):997
Generation of MLC-2v-tdTomato knock-in reporter mouse line.
Zhang Z, Nam YJ
Genesis (New York, N.Y. : 2000) 2018 Oct;56(10):e23256
Genesis (New York, N.Y. : 2000) 2018 Oct;56(10):e23256
Lung fibroblasts promote metastatic colonization through upregulation of stearoyl-CoA desaturase 1 in tumor cells.
Liu G, Feng S, Jia L, Wang C, Fu Y, Luo Y
Oncogene 2018 Mar;37(11):1519-1533
Oncogene 2018 Mar;37(11):1519-1533
Activation of fibroblasts by nicotine promotes the epithelial-mesenchymal transition and motility of breast cancer cells.
Chen PC, Lee WY, Ling HH, Cheng CH, Chen KC, Lin CW
Journal of cellular physiology 2018 Jun;233(6):4972-4980
Journal of cellular physiology 2018 Jun;233(6):4972-4980
RhoA, Rac1, and Cdc42 differentially regulate αSMA and collagen I expression in mesenchymal stem cells.
Ge J, Burnier L, Adamopoulou M, Kwa MQ, Schaks M, Rottner K, Brakebusch C
The Journal of biological chemistry 2018 Jun 15;293(24):9358-9369
The Journal of biological chemistry 2018 Jun 15;293(24):9358-9369
RGC-32 regulates reactive astrocytosis and extracellular matrix deposition in experimental autoimmune encephalomyelitis.
Tatomir A, Tegla CA, Martin A, Boodhoo D, Nguyen V, Sugarman AJ, Mekala A, Anselmo F, Talpos-Caia A, Cudrici C, Badea TC, Rus V, Rus H
Immunologic research 2018 Aug;66(4):445-461
Immunologic research 2018 Aug;66(4):445-461
Invasive Pituitary Adenoma-Derived Tumor-Associated Fibroblasts Promote Tumor Progression both In Vitro and In Vivo.
Lv L, Zhang S, Hu Y, Zhou P, Gao L, Wang M, Sun Z, Chen C, Yin S, Wang X, Jiang S
Experimental and clinical endocrinology & diabetes : official journal, German Society of Endocrinology [and] German Diabetes Association 2018 Apr;126(4):213-221
Experimental and clinical endocrinology & diabetes : official journal, German Society of Endocrinology [and] German Diabetes Association 2018 Apr;126(4):213-221
A tumor vessel-targeting fusion protein elicits a chemotherapeutic bystander effect in pancreatic ductal adenocarcinoma.
Chen CT, Chen YC, Du Y, Han Z, Ying H, Bouchard RR, Hsu JL, Hsu JM, Mitcham TM, Chen MK, Sun HL, Chang SS, Li D, Chang P, DePinho RA, Hung MC
American journal of cancer research 2017;7(3):657-672
American journal of cancer research 2017;7(3):657-672
Combinatorial therapy with three-dimensionally cultured adipose-derived stromal cells and self-assembling peptides to enhance angiogenesis and preserve cardiac function in infarcted hearts.
Kim JH, Park Y, Jung Y, Kim SH, Kim SH
Journal of tissue engineering and regenerative medicine 2017 Oct;11(10):2816-2827
Journal of tissue engineering and regenerative medicine 2017 Oct;11(10):2816-2827
Dietary low-fat soy milk powder retards diabetic nephropathy progression via inhibition of renal fibrosis and renal inflammation.
Jheng HF, Hirotsuka M, Goto T, Shibata M, Matsumura Y, Kawada T
Molecular nutrition & food research 2017 Mar;61(3)
Molecular nutrition & food research 2017 Mar;61(3)
Guidance to rational use of pharmaceuticals in gallbladder sarcomatoid carcinoma using patient-derived cancer cells and whole exome sequencing.
Feng F, Cheng Q, Yang L, Zhang D, Ji S, Zhang Q, Lin Y, Li F, Xiong L, Liu C, Jiang X
Oncotarget 2017 Jan 17;8(3):5349-5360
Oncotarget 2017 Jan 17;8(3):5349-5360
The Role of Butylidenephthalide in Targeting the Microenvironment Which Contributes to Liver Fibrosis Amelioration.
Chuang HM, Su HL, Li C, Lin SZ, Yen SY, Huang MH, Ho LI, Chiou TW, Harn HJ
Frontiers in pharmacology 2016;7:112
Frontiers in pharmacology 2016;7:112
Collagen XII Contributes to Epicardial and Connective Tissues in the Zebrafish Heart during Ontogenesis and Regeneration.
Marro J, Pfefferli C, de Preux Charles AS, Bise T, Jaźwińska A
PloS one 2016;11(10):e0165497
PloS one 2016;11(10):e0165497
Editor's Highlight: Abrasion of Artificial Stones as a New Cause of an Ancient Disease. Physicochemical Features and Cellular Responses.
Pavan C, Polimeni M, Tomatis M, Corazzari I, Turci F, Ghigo D, Fubini B
Toxicological sciences : an official journal of the Society of Toxicology 2016 Sep;153(1):4-17
Toxicological sciences : an official journal of the Society of Toxicology 2016 Sep;153(1):4-17
Effect of Antifibrotic MicroRNAs Crosstalk on the Action of N-acetyl-seryl-aspartyl-lysyl-proline in Diabetes-related Kidney Fibrosis.
Srivastava SP, Shi S, Kanasaki M, Nagai T, Kitada M, He J, Nakamura Y, Ishigaki Y, Kanasaki K, Koya D
Scientific reports 2016 Jul 18;6:29884
Scientific reports 2016 Jul 18;6:29884
Treatment of hind limb ischemia using angiogenic peptide nanofibers.
Kumar VA, Liu Q, Wickremasinghe NC, Shi S, Cornwright TT, Deng Y, Azares A, Moore AN, Acevedo-Jake AM, Agudo NR, Pan S, Woodside DG, Vanderslice P, Willerson JT, Dixon RA, Hartgerink JD
Biomaterials 2016 Aug;98:113-9
Biomaterials 2016 Aug;98:113-9
Pigment epithelium-derived factor 34-mer peptide prevents liver fibrosis and hepatic stellate cell activation through down-regulation of the PDGF receptor.
Tsai TH, Shih SC, Ho TC, Ma HI, Liu MY, Chen SL, Tsao YP
PloS one 2014;9(4):e95443
PloS one 2014;9(4):e95443
Inhibition of fibrous adhesion formation in the temporomandibular joint of tenascin-C knockout mice.
Shinohara Y, Okamoto K, Goh Y, Kiga N, Tojyo I, Fujita S
European journal of histochemistry : EJH 2014 Oct 22;58(4):2337
European journal of histochemistry : EJH 2014 Oct 22;58(4):2337
Linagliptin-mediated DPP-4 inhibition ameliorates kidney fibrosis in streptozotocin-induced diabetic mice by inhibiting endothelial-to-mesenchymal transition in a therapeutic regimen.
Kanasaki K, Shi S, Kanasaki M, He J, Nagai T, Nakamura Y, Ishigaki Y, Kitada M, Srivastava SP, Koya D
Diabetes 2014 Jun;63(6):2120-31
Diabetes 2014 Jun;63(6):2120-31
Modelling human development and disease in pluripotent stem-cell-derived gastric organoids.
McCracken KW, Catá EM, Crawford CM, Sinagoga KL, Schumacher M, Rockich BE, Tsai YH, Mayhew CN, Spence JR, Zavros Y, Wells JM
Nature 2014 Dec 18;516(7531):400-4
Nature 2014 Dec 18;516(7531):400-4
Erythrocytosis and pulmonary hypertension in a mouse model of human HIF2A gain of function mutation.
Tan Q, Kerestes H, Percy MJ, Pietrofesa R, Chen L, Khurana TS, Christofidou-Solomidou M, Lappin TR, Lee FS
The Journal of biological chemistry 2013 Jun 14;288(24):17134-44
The Journal of biological chemistry 2013 Jun 14;288(24):17134-44
The regenerative capacity of the zebrafish heart is dependent on TGFβ signaling.
Chablais F, Jazwinska A
Development (Cambridge, England) 2012 Jun;139(11):1921-30
Development (Cambridge, England) 2012 Jun;139(11):1921-30
No comments: Submit comment
Enhanced validation
Supportive validation
- Submitted by
- GeneTex (provider)
- Enhanced method
- Genetic validation
- Main image

- Experimental details
- Non-transfected (¡V) and transfected (+) HeLa whole cell extracts (30 ?g) were separated by 10% SDS-PAGE, and the membrane was blotted with alpha Smooth Muscle Actin antibody (GTX100034) diluted at 1:3000. The HRP-conjugated anti-rabbit IgG antibody (GTX213110-01) was used to detect the primary antibody.
Supportive validation
- Submitted by
- GeneTex (provider)
- Main image

- Experimental details
- Sample (30 ug of whole cell lysate) A: NIH-3T3 10% SDS PAGE GTX100034 diluted at 1:1000
- Validation comment
- WB
- Submitted by
- GeneTex (provider)
- Main image

- Experimental details
- alpha smooth muscle Actin antibody detects ACTA2 protein by western blot analysis.A. 30 ?g Rat2 whole cell lysate/extract 10% SDS-PAGEalpha smooth muscle Actin antibody (GTX100034) dilution: 1:1000 The HRP-conjugated anti-rabbit IgG antibody (GTX213110-01) was used to detect the primary antibody.
- Submitted by
- GeneTex (provider)
- Main image

- Experimental details
- Sample (30 ug of whole cell lysate) A: Hela 10% SDS PAGE GTX100034 diluted at 1:1000
- Validation comment
- WB
- Submitted by
- GeneTex (provider)
- Main image

- Experimental details
- alpha smooth muscle Actin antibody detects alpha smooth muscle Actin protein by western blot analysis. Whole cell extracts (30 ?g) was separated by 10% SDS-PAGE, and the membrane was blotted with alpha smooth muscle Actin antibody (GTX100034) at a dilution of 1:1000.
- Validation comment
- WB
- Submitted by
- GeneTex (provider)
- Main image

- Experimental details
- alpha smooth muscle Actin antibody detects alpha smooth muscle Actin protein by western blot analysis. Various whole cell extracts (30 ?g) were separated by 10% SDS-PAGE, and the membrane was blotted with alpha smooth muscle Actin antibody (GTX100034) diluted at a dilution of 1:3000.
- Validation comment
- WB
- Submitted by
- GeneTex (provider)
- Main image

- Experimental details
- alpha smooth muscle Actin antibody detects alpha smooth muscle Actin protein by western blot analysis. Whole cell extracts (30 ?g) was separated by 10% SDS-PAGE, and the membrane was blotted with alpha smooth muscle Actin antibody (GTX100034) at a dilution of 1:1000. The HRP-conjugated anti-rabbit IgG antibody (GTX213110-01) was used to detect the primary antibody.
- Submitted by
- GeneTex (provider)
- Main image

- Experimental details
- alpha smooth muscle Actin antibody detects alpha smooth muscle Actin protein by western blot analysis. Various whole cell extracts (30 ?g) were separated by 10% SDS-PAGE, and the membrane was blotted with alpha smooth muscle Actin antibody (GTX100034) diluted at a dilution of 1:1000. The HRP-conjugated anti-rabbit IgG antibody (GTX213110-01) was used to detect the primary antibody.
- Submitted by
- GeneTex (provider)
- Main image

- Experimental details
- Non-transfected (¡V) and transfected (+) HeLa whole cell extracts (30 ?g) were separated by 10% SDS-PAGE, and the membrane was blotted with alpha Smooth Muscle Actin antibody (GTX100034) diluted at 1:3000. The HRP-conjugated anti-rabbit IgG antibody (GTX213110-01) was used to detect the primary antibody.
Supportive validation
- Submitted by
- GeneTex (provider)
- Main image

- Experimental details
- Immunohistochemical analysis of paraffin-embedded U87 xenograft, using alpha Actin (smooth muscle)(GTX100034) antibody at 1:500 dilution.
- Submitted by
- GeneTex (provider)
- Main image

- Experimental details
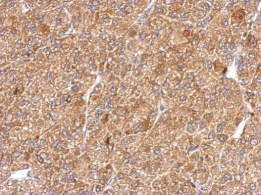
- alpha smooth muscle Actin antibody detects alpha smooth muscle Actin protein at cytoplasm on human liver carcinoma stroma by immunohistochemical analysis. Sample: Paraffin-embedded liver carcinoma stroma. alpha smooth muscle Actin antibody (GTX100034) d
- Submitted by
- GeneTex (provider)
- Main image

- Experimental details
- alpha smooth muscle Actin antibody detects alpha smooth muscle Actin protein at cytosol on mouse colon by immunohistochemical analysis. Sample: Paraffin-embedded mouse colon. alpha smooth muscle Actin antibody (GTX100034) dilution: 1:500.