Antibody data
- Antibody Data
- Antigen structure
- References [0]
- Comments [0]
- Validations
- Western blot [1]
- Immunohistochemistry [8]
Submit
Validation data
Reference
Comment
Report error
- Product number
- NBP1-88773 - Provider product page

- Provider
- Novus Biologicals
- Proper citation
- Novus Cat#NBP1-88773, RRID:AB_11061877
- Product name
- Rabbit Polyclonal KLC4 Antibody
- Antibody type
- Polyclonal
- Description
- Immunogen affinity purified. Specificity of human KLC4 antibody verified on a Protein Array containing target protein plus 383 other non-specific proteins.
- Reactivity
- Human
- Host
- Rabbit
- Isotype
- IgG
- Vial size
- 0.1 ml
- Storage
- Store at 4C short term. Aliquot and store at -20C long term. Avoid freeze-thaw cycles.
No comments: Submit comment
Supportive validation
- Submitted by
- Novus Biologicals (provider)
- Main image

- Experimental details
- Western Blot: KLC4 Antibody [NBP1-88773] - Lane 1: Marker [kDa] 230, 130, 95, 72, 56, 36, 28, 17, 11. Lane 2: Human cell line RT-297
Supportive validation
- Submitted by
- Novus Biologicals (provider)
- Main image

- Experimental details
- Immunohistochemistry-Paraffin: KLC4 Antibody [NBP1-88773] - Staining of human duodenum shows high expression.
- Submitted by
- Novus Biologicals (provider)
- Main image

- Experimental details
- Immunohistochemistry-Paraffin: KLC4 Antibody [NBP1-88773] - Staining of human pancreas shows low expression as expected.
- Submitted by
- Novus Biologicals (provider)
- Main image

- Experimental details
- Immunohistochemistry-Paraffin: KLC4 Antibody [NBP1-88773] - Staining in human duodenum and pancreas tissues using anti-KLC4 antibody. Corresponding KLC4 RNA-seq data are presented for the same tissues.
- Submitted by
- Novus Biologicals (provider)
- Main image

- Experimental details
- Immunohistochemistry-Paraffin: KLC4 Antibody [NBP1-88773] - Staining of human adrenal gland, colon, kidney and testis using Anti-KLC4 antibody NBP1-88773 (A) shows similar protein distribution across tissues to independent antibody NBP1-88772 (B).
- Submitted by
- Novus Biologicals (provider)
- Main image

- Experimental details
- Immunohistochemistry-Paraffin: KLC4 Antibody [NBP1-88773] - Staining of human testis.
- Submitted by
- Novus Biologicals (provider)
- Main image

- Experimental details
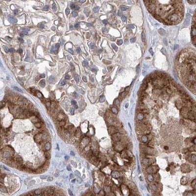
- Immunohistochemistry-Paraffin: KLC4 Antibody [NBP1-88773] - Staining of human kidney.
- Submitted by
- Novus Biologicals (provider)
- Main image

- Experimental details
- Immunohistochemistry-Paraffin: KLC4 Antibody [NBP1-88773] - Staining of human colon.
- Submitted by
- Novus Biologicals (provider)
- Main image

- Experimental details
- Immunohistochemistry-Paraffin: KLC4 Antibody [NBP1-88773] - Staining of human adrenal gland.