Antibody data
- Antibody Data
- Antigen structure
- References [1]
- Comments [0]
- Validations
- Western blot [2]
- Immunohistochemistry [6]
Submit
Validation data
Reference
Comment
Report error
- Product number
- NBP2-33407 - Provider product page

- Provider
- Novus Biologicals
- Product name
- Rabbit Polyclonal Pyruvate Carboxylase Antibody
- Antibody type
- Polyclonal
- Description
- Immunogen affinity purified. Specificity of human Pyruvate Carboxylase antibody verified on a Protein Array containing target protein plus 383 other non-specific proteins.
- Reactivity
- Human, Mouse
- Host
- Rabbit
- Isotype
- IgG
- Vial size
- 0.1 ml
- Storage
- Store at 4C short term. Aliquot and store at -20C long term. Avoid freeze-thaw cycles.
Submitted references Pyruvate carboxylation enables growth of SDH-deficient cells by supporting aspartate biosynthesis.
Cardaci S, Zheng L, MacKay G, van den Broek NJ, MacKenzie ED, Nixon C, Stevenson D, Tumanov S, Bulusu V, Kamphorst JJ, Vazquez A, Fleming S, Schiavi F, Kalna G, Blyth K, Strathdee D, Gottlieb E
Nature cell biology 2015 Oct;17(10):1317-26
Nature cell biology 2015 Oct;17(10):1317-26
No comments: Submit comment
Supportive validation
- Submitted by
- Novus Biologicals (provider)
- Main image

- Experimental details
- Western Blot: Pyruvate Carboxylase Antibody [NBP2-33407] - Analysis using Anti-PC antibody NBP2-33407 (A) shows similar pattern to independent antibody NBP2-55361 (B).
- Submitted by
- Novus Biologicals (provider)
- Main image

- Experimental details
- Western Blot: Pyruvate Carboxylase Antibody [NBP2-33407] - Analysis in human cell lines HeLa and U-251MG. Corresponding RNA-seq data are presented for the same cell lines. Loading control: Anti-GAPDH.
Supportive validation
- Submitted by
- Novus Biologicals (provider)
- Main image

- Experimental details
- Immunohistochemistry-Paraffin: Pyruvate Carboxylase Antibody [NBP2-33407] - Staining of human kidney shows strong cytoplasmic positivity in cells in tubules.
- Submitted by
- Novus Biologicals (provider)
- Main image

- Experimental details
- Immunohistochemistry-Paraffin: Pyruvate Carboxylase Antibody [NBP2-33407] - Staining of human cerebellum shows strong granular cytoplasmic positivity in cells in granular layer.
- Submitted by
- Novus Biologicals (provider)
- Main image

- Experimental details
- Immunohistochemistry-Paraffin: Pyruvate Carboxylase Antibody [NBP2-33407] - Staining of human lymph node shows no positivity in germinal center cells as expected.
- Submitted by
- Novus Biologicals (provider)
- Main image

- Experimental details
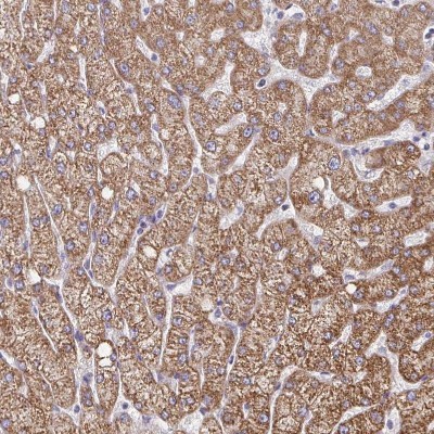
- Immunohistochemistry-Paraffin: Pyruvate Carboxylase Antibody [NBP2-33407] - Staining of human liver shows strong granular cytoplasmic positivity in hepatocytes.
- Submitted by
- Novus Biologicals (provider)
- Main image

- Experimental details
- Immunohistochemistry-Paraffin: Pyruvate Carboxylase Antibody [NBP2-33407] - Staining of human kidney shows strong granular cytoplasmic positivity in cells in proximal tubules.
- Submitted by
- Novus Biologicals (provider)
- Main image

- Experimental details
- Immunohistochemistry-Paraffin: Pyruvate Carboxylase Antibody [NBP2-33407] - Analysis in human liver and lymph node tissues. Corresponding PC RNA-seq data are presented for the same tissues.