Antibody data
- Antibody Data
- Antigen structure
- References [0]
- Comments [0]
- Validations
- Western blot [2]
- Immunocytochemistry [2]
- Immunohistochemistry [4]
- Flow cytometry [1]
Submit
Validation data
Reference
Comment
Report error
- Product number
- GTX84315 - Provider product page

- Provider
- GeneTex
- Proper citation
- GeneTex Cat#GTX84315, RRID:AB_10729631
- Product name
- IFIT1 antibody [3G8]
- Antibody type
- Monoclonal
- Reactivity
- Human, Mouse, Rat, Simian
- Host
- Mouse
No comments: Submit comment
Supportive validation
- Submitted by
- GeneTex (provider)
- Main image

- Experimental details
- HEK293T cells were transfected with the pCMV6-ENTRY control (Left lane) or pCMV6-ENTRY IFIT1 (Right lane) cDNA for 48 hrs and lysed. Equivalent amounts of cell lysates (5 ug per lane) were separated by SDS-PAGE and immunoblotted with anti-IFIT1.
- Submitted by
- GeneTex (provider)
- Main image

- Experimental details
- Western blot analysis of extracts (35ug) from 9 different cell lines by using anti-IFIT1 monoclonal antibody.
Supportive validation
- Submitted by
- GeneTex (provider)
- Main image

- Experimental details
- Anti-IFIT1 mouse monoclonal antibody (GTX84315) immunofluorescent staining of COS7 cells transiently transfected with IFIT1
- Submitted by
- GeneTex (provider)
- Main image

- Experimental details
- Immunofluorescent staining of HT29 cells using anti-IFIT1 mouse monoclonal antibody (GTX84315).
Supportive validation
- Submitted by
- GeneTex (provider)
- Main image

- Experimental details
- Immunohistochemical staining of paraffin-embedded Adenocarcinoma of Human ovary tissue using anti-IFIT1 mouse monoclonal antibody. (GTX84315)
- Submitted by
- GeneTex (provider)
- Main image

- Experimental details
- Immunohistochemical staining of paraffin-embedded Carcinoma of Human liver tissue using anti-IFIT1 mouse monoclonal antibody. (GTX84315)
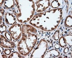
- Submitted by
- GeneTex (provider)
- Main image

- Experimental details
- Immunohistochemical staining of paraffin-embedded Human Kidney tissue using anti-IFIT1 mouse monoclonal antibody. (GTX84315)
- Submitted by
- GeneTex (provider)
- Main image

- Experimental details
- Immunohistochemical staining of paraffin-embedded Human liver tissue using anti-IFIT1 mouse monoclonal antibody. (GTX84315)
Supportive validation
- Submitted by
- GeneTex (provider)
- Main image

- Experimental details
- HEK293T cells transfected with either RC203320 overexpress plasmid(Red) or empty vector control plasmid(Blue) were immunostained by anti-IFIT1 antibody(GTX84315), and then analyzed by flow cytometry.