Antibody data
- Antibody Data
- Antigen structure
- References [4]
- Comments [0]
- Validations
- Immunohistochemistry [6]
Submit
Validation data
Reference
Comment
Report error
- Product number
- NBP1-81376 - Provider product page

- Provider
- Novus Biologicals
- Proper citation
- Novus Cat#NBP1-81376, RRID:AB_11021287
- Product name
- Rabbit Polyclonal ZDHHC5 Antibody
- Antibody type
- Polyclonal
- Description
- Immunogen affinity purified. Specificity of human ZDHHC5 antibody verified on a Protein Array containing target protein plus 383 other non-specific proteins.
- Reactivity
- Human
- Host
- Rabbit
- Isotype
- IgG
- Vial size
- 0.1 ml
- Storage
- Store at 4C short term. Aliquot and store at -20C long term. Avoid freeze-thaw cycles.
Submitted references Activity-regulated trafficking of the palmitoyl-acyl transferase DHHC5.
Palmitoylation of δ-catenin by DHHC5 mediates activity-induced synapse plasticity.
DHHC5 protein palmitoylates flotillin-2 and is rapidly degraded on induction of neuronal differentiation in cultured cells.
DHHC5 interacts with PDZ domain 3 of post-synaptic density-95 (PSD-95) protein and plays a role in learning and memory.
Brigidi GS, Santyr B, Shimell J, Jovellar B, Bamji SX
Nature communications 2015 Sep 3;6:8200
Nature communications 2015 Sep 3;6:8200
Palmitoylation of δ-catenin by DHHC5 mediates activity-induced synapse plasticity.
Brigidi GS, Sun Y, Beccano-Kelly D, Pitman K, Mobasser M, Borgland SL, Milnerwood AJ, Bamji SX
Nature neuroscience 2014 Apr;17(4):522-32
Nature neuroscience 2014 Apr;17(4):522-32
DHHC5 protein palmitoylates flotillin-2 and is rapidly degraded on induction of neuronal differentiation in cultured cells.
Li Y, Martin BR, Cravatt BF, Hofmann SL
The Journal of biological chemistry 2012 Jan 2;287(1):523-30
The Journal of biological chemistry 2012 Jan 2;287(1):523-30
DHHC5 interacts with PDZ domain 3 of post-synaptic density-95 (PSD-95) protein and plays a role in learning and memory.
Li Y, Hu J, Höfer K, Wong AM, Cooper JD, Birnbaum SG, Hammer RE, Hofmann SL
The Journal of biological chemistry 2010 Apr 23;285(17):13022-31
The Journal of biological chemistry 2010 Apr 23;285(17):13022-31
No comments: Submit comment
Supportive validation
- Submitted by
- Novus Biologicals (provider)
- Main image

- Experimental details
- Immunohistochemistry-Paraffin: ZDHHC5 Antibody [NBP1-81376] - Staining of human gallbladder shows membranous positivity in glandular cells.
- Submitted by
- Novus Biologicals (provider)
- Main image

- Experimental details
- Immunohistochemistry-Paraffin: ZDHHC5 Antibody [NBP1-81376] - Staining of human cervix, uterine shows membranous positivity in squamous epithelial cells.
- Submitted by
- Novus Biologicals (provider)
- Main image

- Experimental details
- Immunohistochemistry-Paraffin: ZDHHC5 Antibody [NBP1-81376] - Staining of human duodenum shows membranous positivity in glandular cells.
- Submitted by
- Novus Biologicals (provider)
- Main image

- Experimental details
- Immunohistochemistry-Paraffin: ZDHHC5 Antibody [NBP1-81376] - Staining of human esophagus shows membranous positivity in squamous epithelial cells.
- Submitted by
- Novus Biologicals (provider)
- Main image

- Experimental details
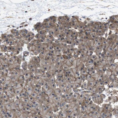
- Immunohistochemistry-Paraffin: ZDHHC5 Antibody [NBP1-81376] - Staining of human pancreas shows membranous positivity in exocrine glandular cells.
- Submitted by
- Novus Biologicals (provider)
- Main image

- Experimental details
- Immunohistochemistry-Paraffin: ZDHHC5 Antibody [NBP1-81376] - Staining of human placenta shows positivity in trophoblastic cells.