Antibody data
- Antibody Data
 - Antigen structure
 - References [0]
 - Comments [0]
 - Validations
 - Western blot [1]
 - Immunocytochemistry [1]
 - Immunohistochemistry [1]
 
Submit
Validation data
Reference
Comment
Report error
- Product number
 - 12357-2-AP - Provider product page

 - Provider
 - Invitrogen Antibodies
 - Product name
 - MRRF Polyclonal Antibody
 - Antibody type
 - Polyclonal
 - Antigen
 - Other
 - Reactivity
 - Human, Mouse, Rat
 - Host
 - Rabbit
 - Isotype
 - IgG
 - Vial size
 - 150 µL
 - Concentration
 - 0.13 mg/mL
 - Storage
 - -20°C
 
				No comments: Submit comment	
	
			
							
					Supportive validation
					
									
				
				- Submitted by
 - Invitrogen Antibodies (provider)
 - Main image
 
- Experimental details
 - A431 cells were subjected to SDS PAGE followed by western blot with 12357-2-AP (MRRF antibody) at dilution of 1:1000 incubated at room temperature for 1.5 hours.
 
							
					Supportive validation
					
									
				
				- Submitted by
 - Invitrogen Antibodies (provider)
 - Main image
 
- Experimental details
 - Immunofluorescent analysis of MCF-7 cells, using MRRF antibody 12357-2-AP at 1:50 dilution and Rhodamine-labeled goat anti-rabbit IGG (red). Blue pseudocolor = DAPI (fluorescent DNA dye).
 
							
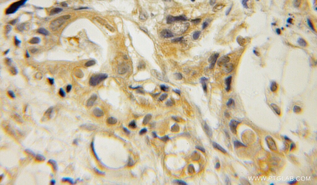
					Supportive validation
					
									
				
		- Submitted by
 - Invitrogen Antibodies (provider)
 - Main image
 
- Experimental details
 - Immunohistochemistry of paraffin-embedded human pancreas cancer using 12357-2-AP (MRRF antibody) at dilution of 1:50 (under 10x lens).