Antibody data
- Antibody Data
- Antigen structure
- References [0]
- Comments [0]
- Validations
- Immunohistochemistry [1]
Submit
Validation data
Reference
Comment
Report error
- Product number
- PAB27189 - Provider product page

- Provider
- Abnova Corporation
- Product name
- KPNA7 polyclonal antibody
- Antibody type
- Polyclonal
- Description
- Rabbit polyclonal antibody raised against synthetic peptide of KPNA7.
- Isotype
- IgG
- Storage
- Store at 4°C for three months. For long term storage store at -20°C.Aliquot to avoid repeated freezing and thawing.
No comments: Submit comment
Supportive validation
- Submitted by
- Abnova Corporation (provider)
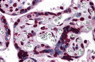
- Main image

- Experimental details
- Immunohistochemistry analysis of KPNA7 in human placenta tissue with KPNA7 polyclonal antibody (Cat # PAB27189) at 5 ug/mL.
- Validation comment
- Immunohistochemistry