Antibody data
- Antibody Data
- Antigen structure
- References [0]
- Comments [0]
- Validations
- Western blot [1]
- Immunocytochemistry [1]
- Immunohistochemistry [1]
Submit
Validation data
Reference
Comment
Report error
- Product number
- GTX32111 - Provider product page

- Provider
- GeneTex
- Product name
- MOSPD1 antibody
- Antibody type
- Polyclonal
- Reactivity
- Human, Mouse, Rat
- Host
- Rabbit
No comments: Submit comment
Supportive validation
- Submitted by
- GeneTex (provider)
- Main image

- Experimental details
- Western blot analysis of MOSPD1 in human brain tissue lysate with MOSPD1 antibody at 1 μg/mL in (A) the absence and (B) the presence of blocking peptide.
Supportive validation
- Submitted by
- GeneTex (provider)
- Main image

- Experimental details
- Immunofluorescence of MOSPD1 in mouse testis tissue with MOSPD1 antibody at 20 μg/ml.
Supportive validation
- Submitted by
- GeneTex (provider)
- Main image

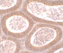
- Experimental details
- Immunohistochemistry of MOSPD1 in mouse testis tissue with MOSPD1 antibody at 2.5 μg/ml.