ABIN1385431
antibody from antibodies-online
Targeting: RTL8C
CXX1, FAM127A, Mar8, MAR8C, Mart8, SIRH5
Antibody data
- Antibody Data
- Antigen structure
- References [1]
- Comments [0]
- Validations
- Immunohistochemistry [1]
Submit
Validation data
Reference
Comment
Report error
- Product number
- ABIN1385431 - Provider product page

- Provider
- antibodies-online
- Product name
- anti-Cerebral Protein 5 antibody
- Antibody type
- Polyclonal
- Description
- Purified by Protein A.
- Reactivity
- Human, Mouse, Rat
- Host
- Rabbit
- Isotype
- IgG
- Vial size
- 100 μL
- Storage
- Store at -20°C
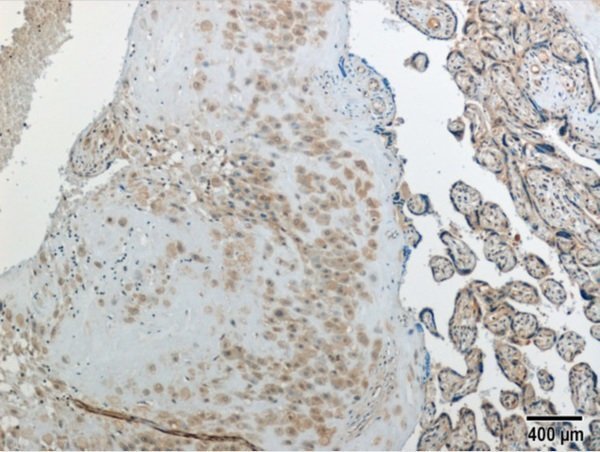
Submitted references Selective expression of sense and antisense transcripts of the sushi-ichi-related retrotransposon--derived family during mouse placentogenesis.
Henke C, Strissel PL, Schubert MT, Mitchell M, Stolt CC, Faschingbauer F, Beckmann MW, Strick R
Retrovirology 2015 Feb 3;12:9
Retrovirology 2015 Feb 3;12:9
No comments: Submit comment
Supportive validation
- Submitted by
- antibodies-online (provider)
- Main image

- Experimental details
- IHC