Antibody data
- Antibody Data
- Antigen structure
- References [0]
- Comments [0]
- Validations
- Western blot [2]
- Immunohistochemistry [5]
Submit
Validation data
Reference
Comment
Report error
- Product number
- AP42040PU-N - Provider product page

- Provider
- Acris Antibodies GmbH
- Proper citation
- Acris Antibodies GmbH Cat#AP42040PU-N, RRID:AB_11216765
- Product name
- anti Vacuolar-sorting protein SNF8
- Antibody type
- Polyclonal
- Antigen
- The immunogen for anti-EAP30 antibody: synthetic peptide directed towards the N terminal of human EAP30
- Reactivity
- Human, Mouse, Rat, Bovine, Canine, Chicken/Avian, Zebrafish
- Host
- Rabbit
- Vial size
- 50 µg
No comments: Submit comment
Supportive validation
- Submitted by
- Acris Antibodies GmbH (provider)
- Main image

- Experimental details
- Western blotting of human HepG2 cell lysate using AP42040PU-N SNF8 / EAP30 antibody at 5 µg/ml (picture provided by Aviva Systems Biology)
- Submitted by
- Acris Antibodies GmbH (provider)
- Main image

- Experimental details
- Human HepG2; WB Suggested Anti-EAP30 Antibody Titration: 5.0ug/ml. Positive Control: HepG2 cell lysate. SNF8 is supported by BioGPS gene expression data to be expressed in HepG2.; EAP30 antibody - N-terminal region (AP42040PU-N) in Human HepG2 cells using Western Blot
Supportive validation
- Submitted by
- Acris Antibodies GmbH (provider)
- Main image

- Experimental details
- Staining of paraffin embedded sections of human stomach using AP42040PU-N SNF8 / EAP30 antibody. Note positive staining of epithelial cells of Fundic Glands (arrows) and Surface Mucous Glands (arrowheads).
- Submitted by
- Acris Antibodies GmbH (provider)
- Main image

- Experimental details
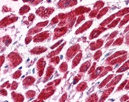
- Staining of paraffin embedded sections of human heart using AP42040PU-N SNF8 antibody.
- Submitted by
- Acris Antibodies GmbH (provider)
- Main image

- Experimental details
- Human Heart; EAP30 antibody - N-terminal region (AP42040PU-N) in Human Heart cells using Immunohistochemistry
- Submitted by
- Acris Antibodies GmbH (provider)
- Main image

- Experimental details
- Human Spleen; EAP30 antibody - N-terminal region (AP42040PU-N) in Human Spleen cells using Immunohistochemistry
- Submitted by
- Acris Antibodies GmbH (provider)
- Main image

- Experimental details
- Human Stomach; Rabbit Anti-EAP30 Antibody. Paraffin Embedded Tissue: Human Stomach. Cellular Data: Epithelial cells of Fundic Gland and Surface Mucous Cells. Antibody Concentration: 4.0-8.0 ug/ml. Magnification: 400X; EAP30 antibody - N-terminal region (AP42040PU-N) in Human Stomach cells using Immunohistochemistry