Antibody data
- Antibody Data
- Antigen structure
- References [0]
- Comments [0]
- Validations
- Western blot [2]
- Immunohistochemistry [1]
Submit
Validation data
Reference
Comment
Report error
- Product number
- TA346435 - Provider product page

- Provider
- OriGene
- Product name
- Rabbit Polyclonal Anti-SLC22A7 Antibody
- Antibody type
- Polyclonal
- Description
- Rabbit Polyclonal Anti-SLC22A7 Antibody
- Host
- Rabbit
- Conjugate
- Unconjugated
- Epitope
- SLC22A7
- Isotype
- IgG
- Antibody clone number
- NULL
- Vial size
- 100 µl
- Concentration
- NULL
No comments: Submit comment
Supportive validation
- Submitted by
- OriGene (provider)
- Main image

- Experimental details
- WB Suggested Anti-SLC22A7 Antibody Titration: 5.0 ug/ml; Positive Control: Jurkat cell lysate; There is BioGPS gene expression data showing that SLC22A7 is expressed in Jurkat
- Validation comment
- WB
- Submitted by
- OriGene (provider)
- Main image

- Experimental details
- Host: Rabbit; Target Name: SLC22A7; Sample Tissue: Jurkat; Lane A: Primary Antibody; Lane B: Primary Antibody + Blocking Peptide; Primary Antibody Concentration: 2.5 ug/mL; Peptide Concentration: 2.0 ug/mL; Lysate Quantity: 25 ug/lane; Gel Concentration: 12%There is BioGPS gene expression data showing that SLC22A7 is expressed in Jurkat
- Validation comment
- WB
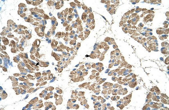
Supportive validation
- Submitted by
- OriGene (provider)
- Main image

- Experimental details
- Rabbit Anti-SLC22A7 Antibody; Paraffin Embedded Tissue: Human Muscle; Cellular Data: Skeletal muscle cells; Antibody Concentration: 4.0-8.0 ug/ml; Magnification: 400X
- Validation comment
- IHC