Antibody data
- Antibody Data
 - Antigen structure
 - References [0]
 - Comments [0]
 - Validations
 - Western blot [2]
 - Immunohistochemistry [3]
 
Submit
Validation data
Reference
Comment
Report error
- Product number
 - LS-C375955 - Provider product page

 - Provider
 - LSBio
 - Product name
 - IMPDH2 Antibody LS-C375955
 - Antibody type
 - Polyclonal
 - Description
 - Protein G purified
 - Reactivity
 - Human, Mouse
 - Host
 - Rabbit
 - Isotype
 - IgG
 - Storage
 - Short term: store at -20°C. Long term: store at -80°C. Avoid freeze-thaw cycles.
 
				No comments: Submit comment	
	
			
							
					Enhanced validation
					
									
				
				- Submitted by
 - LSBio (provider)
 - Enhanced method
 - Genetic validation
 - Main image
 
- Experimental details
 - Western blot. All lanes: IMPDH2 antibody at 12 ug/ml. Lane 1: Mouse heart tissue. Lane 2: A549 whole cell lysate. Lane 3: HeLa whole cell lysate. Secondary antibody: Goat polyclonal to Rabbit IgG at 1:10000 dilution. Predicted band size: 56 kDa. Observed band size: 56 kDa.
 
- Submitted by
 - LSBio (provider)
 - Enhanced method
 - Genetic validation
 - Main image
 
- Experimental details
 - Western blot All lanes: IMPDH2 antibody at 12µg/ml Lane 1: Mouse heart tissue Lane 2: A549 whole cell lysate Lane 3: Hela whole cell lysate Secondary Goat polyclonal to rabbit IgG at 1/10000 dilution Predicted band size: 56 kDa Observed band size: 56 kDa
 
							
					Supportive validation
					
									
				
		- Submitted by
 - LSBio (provider)
 - Enhanced method
 - Genetic validation
 - Main image
 
- Experimental details
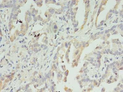
 - Immunohistochemistry of paraffin-embedded human lung cancer using antibody at dilution of 1:100.
 
- Submitted by
 - LSBio (provider)
 - Enhanced method
 - Genetic validation
 - Main image
 
- Experimental details
 - Immunohistochemistry of paraffin-embedded human lung cancer using antibody at dilution of 1:100.
 
- Submitted by
 - LSBio (provider)
 - Enhanced method
 - Genetic validation
 - Main image
 
- Experimental details
 - Immunohistochemistry of paraffin-embedded human lung cancer using antibody at dilution of 1:100.