Antibody data
- Antibody Data
- Antigen structure
- References [0]
- Comments [0]
- Validations
- Western blot [1]
- Immunohistochemistry [1]
Submit
Validation data
Reference
Comment
Report error
- Product number
- GTX85049 - Provider product page

- Provider
- GeneTex
- Proper citation
- GeneTex Cat#GTX85049, RRID:AB_10725069
- Product name
- Carabin antibody
- Antibody type
- Polyclonal
- Reactivity
- Human, Mouse
- Host
- Rabbit
No comments: Submit comment
Supportive validation
- Submitted by
- GeneTex (provider)
- Main image

- Experimental details
- Western blot analysis of Carabin in human spleen tissue lysate with Carabin antibody at (A) 1 and (B) 2 μg/ml.
Supportive validation
- Submitted by
- GeneTex (provider)
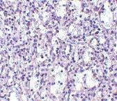
- Main image

- Experimental details
- Immunohistochemistry of Carabin in human spleen tissue with Carabin antibody at 2.5 μg/ml.