Antibody data
- Antibody Data
- Antigen structure
- References [3]
- Comments [0]
- Validations
- Western blot [1]
- Immunohistochemistry [1]
Submit
Validation data
Reference
Comment
Report error
- Product number
- PAB13276 - Provider product page

- Provider
- Abnova Corporation
- Proper citation
- Abnova Corporation Cat#PAB13276, RRID:AB_10676602
- Product name
- TBC1D10C polyclonal antibody
- Antibody type
- Polyclonal
- Description
- Rabbit polyclonal antibody raised against synthetic peptide of TBC1D10C.
- Storage
- Store at 4°C for three months. For long term storage store at -20°C.Aliquot to avoid repeated freezing and thawing.
Submitted references Feedback inhibition of calcineurin and Ras by a dual inhibitory protein Carabin.
Deciphering the pathway from the TCR to NF-kappaB.
Activation and deactivation of gene expression by Ca2+/calcineurin-NFAT-mediated signaling.
Pan F, Sun L, Kardian DB, Whartenby KA, Pardoll DM, Liu JO
Nature 2007 Jan 25;445(7126):433-6
Nature 2007 Jan 25;445(7126):433-6
Deciphering the pathway from the TCR to NF-kappaB.
Weil R, Israƫl A
Cell death and differentiation 2006 May;13(5):826-33
Cell death and differentiation 2006 May;13(5):826-33
Activation and deactivation of gene expression by Ca2+/calcineurin-NFAT-mediated signaling.
Im SH, Rao A
Molecules and cells 2004 Aug 31;18(1):1-9
Molecules and cells 2004 Aug 31;18(1):1-9
No comments: Submit comment
Supportive validation
- Submitted by
- Abnova Corporation (provider)
- Main image

- Experimental details
- Western blot analysis of TBC1D10C in Daudi cell lysate with TBC1D10C polyclonal antibody (Cat # PAB13276) at (A) 1 and (B) 2 ug/mL .
Supportive validation
- Submitted by
- Abnova Corporation (provider)
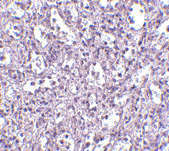
- Main image

- Experimental details
- Immunohistochemistry of TBC1D10C in human spleen tissue with TBC1D10C polyclonal antibody (Cat # PAB13276) at 2.5 ug/mL .
- Validation comment
- Immunohistochemistry (Formalin/PFA-fixed paraffin-embedded sections)