Antibody data
- Antibody Data
- Antigen structure
- References [2]
- Comments [0]
- Validations
- Western blot [1]
- Immunohistochemistry [1]
Submit
Validation data
Reference
Comment
Report error
- Product number
- PAB4256 - Provider product page

- Provider
- Abnova Corporation
- Proper citation
- Abnova Corporation Cat#PAB4256, RRID:AB_1571357
- Product name
- ARL1 polyclonal antibody
- Antibody type
- Polyclonal
- Description
- Rabbit polyclonal antibody raised against synthetic peptide of ARL1.
- Storage
- Store at 4°C. For long term storage store at -20°C.Aliquot to avoid repeated freezing and thawing.
Submitted references Phospholipid- and GTP-dependent activation of cholera toxin and phospholipase D by human ADP-ribosylation factor-like protein 1 (HARL1).
Different ARF domains are required for the activation of cholera toxin and phospholipase D.
Hong JX, Lee FJ, Patton WA, Lin CY, Moss J, Vaughan M
The Journal of biological chemistry 1998 Jun 19;273(25):15872-6
The Journal of biological chemistry 1998 Jun 19;273(25):15872-6
Different ARF domains are required for the activation of cholera toxin and phospholipase D.
Zhang GF, Patton WA, Lee FJ, Liyanage M, Han JS, Rhee SG, Moss J, Vaughan M
The Journal of biological chemistry 1995 Jan 6;270(1):21-4
The Journal of biological chemistry 1995 Jan 6;270(1):21-4
No comments: Submit comment
Supportive validation
- Submitted by
- Abnova Corporation (provider)
- Main image

- Experimental details
- Western blot analysis of K-562 cell lysate (35 ug/lane) with ARL1 polyclonal antibody (Cat # PAB4256).
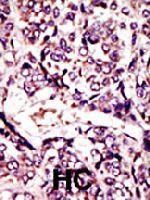
Supportive validation
- Submitted by
- Abnova Corporation (provider)
- Main image

- Experimental details
- Formalin-fixed and paraffin-embedded human hepatocellular carcinoma tissue reacted with ARL1 polyclonal antibody (Cat # PAB4256) , which was peroxidase-conjugated to the secondary antibody, followed by DAB staining . This data demonstrates the use of this antibody for immunohistochemistry; clinical relevance has not been evaluated . HC = hepatocarcinoma .
- Validation comment
- Immunohistochemistry (Formalin/PFA-fixed paraffin-embedded sections)