Antibody data
- Antibody Data
- Antigen structure
- References [0]
- Comments [0]
- Validations
- Immunohistochemistry [6]
Submit
Validation data
Reference
Comment
Report error
- Product number
- PA5-62424 - Provider product page

- Provider
- Invitrogen Antibodies
- Product name
- CLEC3A Polyclonal Antibody
- Antibody type
- Polyclonal
- Antigen
- Recombinant protein fragment
- Description
- Immunogen sequence: DCISKGGILV IPRNSDEINA LQDYGKRSLP GVNDFWLGIN DMVTEGKFVD VNGIAISFLN WDR Highest antigen sequence identity to the following orthologs: Mouse - 89%, Rat - 87%.
- Reactivity
- Human
- Host
- Rabbit
- Isotype
- IgG
- Vial size
- 100 μL
- Concentration
- 0.6 mg/mL
- Storage
- Store at 4°C short term. For long term storage, store at -20°C, avoiding freeze/thaw cycles.
No comments: Submit comment
Supportive validation
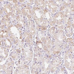
- Submitted by
- Invitrogen Antibodies (provider)
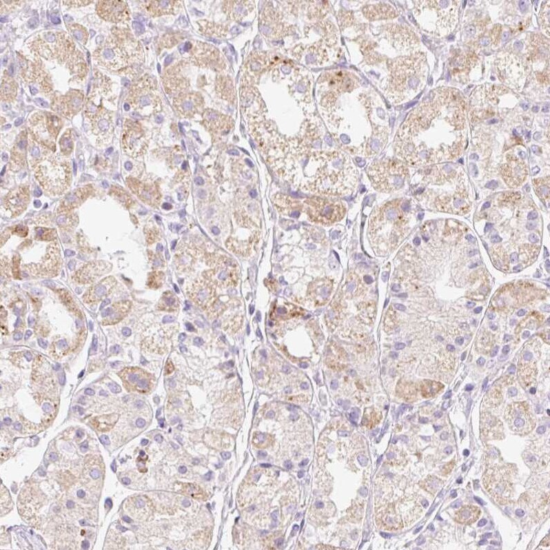
- Main image

- Experimental details
- Immunohistochemical analysis of CLEC3A in human stomach using CLEC3A Polyclonal Antibody (Product # PA5-62424) shows moderate cytoplasmic positivity in glandular cells.
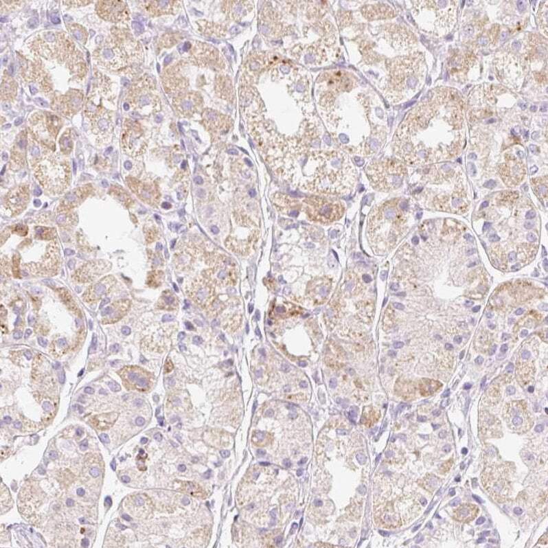
- Submitted by
- Invitrogen Antibodies (provider)
- Main image

- Experimental details
- Immunohistochemical analysis of CLEC3A in human cerebellum using CLEC3A Polyclonal Antibody (Product # PA5-62424) shows strong granular pattern cytoplasmic positivity in Purkinje cells.
- Submitted by
- Invitrogen Antibodies (provider)
- Main image

- Experimental details
- Immunohistochemical analysis of CLEC3A in human cerebral cortex using CLEC3A Polyclonal Antibody (Product # PA5-62424) shows strong granular pattern cytoplasmic positivity in neuronal cells.
- Submitted by
- Invitrogen Antibodies (provider)
- Main image

- Experimental details
- Immunohistochemical analysis of CLEC3A in human skin using CLEC3A Polyclonal Antibody (Product # PA5-62424) shows negative cytoplasmic positivity in fibroblasts as expected.
- Submitted by
- Invitrogen Antibodies (provider)
- Main image

- Experimental details
- Immunohistochemical analysis of CLEC3A in human stomach using CLEC3A Polyclonal Antibody (Product # PA5-62424) shows moderate cytoplasmic positivity in glandular cells.
- Submitted by
- Invitrogen Antibodies (provider)
- Main image

- Experimental details
- Immunohistochemical analysis of CLEC3A in human cerebellum using CLEC3A Polyclonal Antibody (Product # PA5-62424) shows strong granular pattern cytoplasmic positivity in Purkinje cells.