Antibody data
- Antibody Data
- Antigen structure
- References [0]
- Comments [0]
- Validations
- Western blot [1]
- Immunohistochemistry [1]
Submit
Validation data
Reference
Comment
Report error
- Product number
- PA5-60473 - Provider product page

- Provider
- Invitrogen Antibodies
- Product name
- Anti-CABP4 Polyclonal Antibody
- Antibody type
- Polyclonal
- Antigen
- Recombinant full-length protein
- Description
- Immunogen sequence: MTTEQARGQQ GPNLAIGRQK PPAGVVTPKS DAEEPPLTRK RSKKERGLRG SRKRTGSSGE QTGPEAPGSS NNPPSTGE Highest antigen sequence identity to the following orthologs: Mouse - 46%, Rat - 41%.
- Reactivity
- Human
- Host
- Rabbit
- Isotype
- IgG
- Vial size
- 100 µl
- Concentration
- Lot-Specific
- Storage
- Store at 4°C short term. For long term storage, store at -20°C, avoiding freeze/thaw cycles.
No comments: Submit comment
Supportive validation
- Submitted by
- Invitrogen Antibodies (provider)
- Main image

- Experimental details
- Western blot analysis of CABP4 in Lane 1: Marker (kDa) 250, 130, 95, 72, 55, 36, 28, 17, 10; Lane 2: Human cell line RT-4; Lane 3: Human cell line U-251MG sp. Samples were probed using a CABP4 Polyclonal Antibody (Product # PA5-60473).
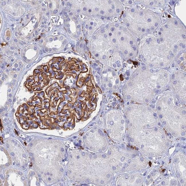
Supportive validation
- Submitted by
- Invitrogen Antibodies (provider)
- Main image

- Experimental details
- Immunohistochemical staining of CABP4 in human kidney tissue shows strong membranous positivity in cells in glomeruli. Samples were probed using a CABP4 Polyclonal Antibody (Product # PA5-60473).