Antibody data
- Antibody Data
- Antigen structure
- References [0]
- Comments [0]
- Validations
- Western blot [2]
- Immunocytochemistry [1]
- Immunohistochemistry [1]
Submit
Validation data
Reference
Comment
Report error
- Product number
- NBP2-29917 - Provider product page

- Provider
- Novus Biologicals
- Product name
- Rabbit Polyclonal Cytochrome P450 3A5 Antibody
- Antibody type
- Polyclonal
- Description
- Ammonium sulfate precipitation.
- Reactivity
- Human
- Host
- Rabbit
- Isotype
- IgG
- Vial size
- 0.4 ml
- Concentration
- 8.42 mg/ml
- Storage
- Store at 4C short term. Aliquot and store at -20C long term. Avoid freeze-thaw cycles.
No comments: Submit comment
Supportive validation
- Submitted by
- Novus Biologicals (provider)
- Main image

- Experimental details
- Western Blot: Cytochrome P450 3A5 Antibody [NBP2-29917] - Western blot analysis of anti-CYP3A5 Antibody (C-term) (NBP2-29917) in 293 cell line lysates (35ug/lane). CYP3A5 (arrow) was detected using the purified Pab.
- Submitted by
- Novus Biologicals (provider)
- Main image

- Experimental details
- Western Blot: Cytochrome P450 3A5 Antibody [NBP2-29917] - Analysis of anti-CYP3A5 Antibody (C-term) in 293 cell line lysates (35ug/lane). CYP3A5 (arrow) was detected using the purified Pab.
Supportive validation
- Submitted by
- Novus Biologicals (provider)
- Main image

- Experimental details
- Immunocytochemistry/Immunofluorescence: Cytochrome P450 3A5 Antibody [NBP2-29917] - Confocal immunofluorescent analysis of CYP3A5 Antibody (C-term) (NBP2-29917) with 293 cell followed by Alexa Fluor 488-conjugated goat anti-rabbit lgG (green).DAPI was used to stain.
Supportive validation
- Submitted by
- Novus Biologicals (provider)
- Main image

- Experimental details
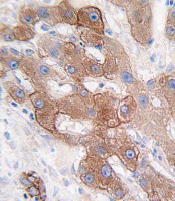
- Immunohistochemistry-Paraffin: Cytochrome P450 3A5 Antibody [NBP2-29917] - Human hepatocarcinoma tissue reacted with CYP3A5 antibody (C-term), which was peroxidase-conjugated to the secondary antibody, followed by DAB staining. This data demonstrates the use of this antibody for immunohistochemistry; clinical relevance has not been evaluated.