Antibody data
- Antibody Data
- Antigen structure
- References [0]
- Comments [0]
- Validations
- Immunohistochemistry [1]
Submit
Validation data
Reference
Comment
Report error
- Product number
- AP33292PU-N - Provider product page

- Provider
- Acris Antibodies GmbH
- Product name
- anti ZIC3 (178-189)
- Antibody type
- Polyclonal
- Antigen
- Peptide with sequence from the internal region of the protein sequence according to NP_003404.1.
- Reactivity
- Human, Mouse, Rat, Bovine, Porcine
- Host
- Goat
- Vial size
- 0.1 mg
- Concentration
- 0.5 mg/ml
No comments: Submit comment
Supportive validation
- Submitted by
- Acris Antibodies GmbH (provider)
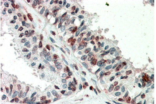
- Main image

- Experimental details
- Staining of paraffin embedded Human Prostate using ZIC3 Antibody Cat.-No AP33292PU-N at 5 µg/ml. Steamed antigen retrieval with citrate buffer pH 6, AP-staining.