Antibody data
- Antibody Data
- Antigen structure
- References [1]
- Comments [0]
- Validations
- Western blot [2]
- Immunohistochemistry [1]
Submit
Validation data
Reference
Comment
Report error
- Product number
- NBP1-52084 - Provider product page

- Provider
- Novus Biologicals
- Proper citation
- Novus Cat#NBP1-52084, RRID:AB_11015776
- Product name
- Goat Polyclonal Phenylalanine Hydroxylase Antibody
- Antibody type
- Polyclonal
- Description
- Immunogen affinity purified.
- Reactivity
- Human, Mouse, Rat
- Host
- Goat
- Antigen sequence
C-ESRPSRLKKDE- Isotype
- IgG
- Vial size
- 0.1 mg
- Concentration
- 0.5 mg/ml
- Storage
- Store at -20C. Avoid freeze-thaw cycles.
Submitted references Mutations of the phenylalanine hydroxylase gene in Iranian Azeri Turkish patients with phenylketonuria.
Bonyadi M, Omrani O, Moghanjoghi SM, Shiva S
Genetic testing and molecular biomarkers 2010 Apr;14(2):233-5
Genetic testing and molecular biomarkers 2010 Apr;14(2):233-5
No comments: Submit comment
Supportive validation
- Submitted by
- Novus Biologicals (provider)
- Main image

- Experimental details
- Western Blot: Phenylalanine Hydroxylase Antibody [NBP1-52084] - (0.1ug/ml) staining of Mouse (A) and Rat (B) Liver lysate (35ug protein in RIPA buffer). Primary incubation was 1 hour. Detected by chemiluminescence.
- Submitted by
- Novus Biologicals (provider)
- Main image

- Experimental details
- Western Blot: Phenylalanine Hydroxylase Antibody [NBP1-52084] - Analysis of Phenylalanine Hydroxylase Human Liver lysate (35ug protein in RIPA buffer) using this antibody at 0.3 ug/ml. Primary incubation was 1 hour. Detected by chemiluminescence.
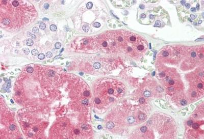
Supportive validation
- Submitted by
- Novus Biologicals (provider)
- Main image

- Experimental details
- Immunohistochemistry-Paraffin: Phenylalanine Hydroxylase Antibody [NBP1-52084] - Staining of paraffin embedded Human Kidney. Steamed antigen retrieval with citrate buffer pH 6, AP-staining.