Antibody data
- Antibody Data
- Antigen structure
- References [0]
- Comments [0]
- Validations
- Western blot [1]
- Immunohistochemistry [3]
Submit
Validation data
Reference
Comment
Report error
- Product number
- LS-C172577 - Provider product page

- Provider
- LSBio
- Product name
- ACY3 Antibody (clone OTI2F1) LS-C172577
- Antibody type
- Monoclonal
- Description
- Protein A/G purified
- Reactivity
- Human
- Host
- Mouse
- Isotype
- IgG
- Antibody clone number
- OTI2F1
- Storage
- Store at -20°C. Avoid freeze-thaw cycles.
No comments: Submit comment
Enhanced validation
- Submitted by
- LSBio (provider)
- Enhanced method
- Genetic validation
- Main image

- Experimental details
- HEK293T cells were transfected with the pCMV6-ENTRY control (Left lane) or pCMV6-ENTRY ACY3 (Right lane) cDNA for 48 hrs and lysed. Equivalent amounts of cell lysates (5 ug per lane) were separated by SDS-PAGE and immunoblotted with anti-ACY3.
Enhanced validation
- Submitted by
- LSBio (provider)
- Enhanced method
- Genetic validation
- Main image

- Experimental details
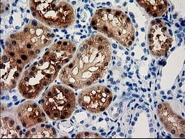
- IHC of paraffin-embedded Human Kidney tissue using anti-ACY3 mouse monoclonal antibody.
- Submitted by
- LSBio (provider)
- Enhanced method
- Genetic validation
- Main image

- Experimental details
- IHC of paraffin-embedded Human Kidney tissue using anti-ACY3 mouse monoclonal antibody.
- Submitted by
- LSBio (provider)
- Main image

- Experimental details
- IHC of paraffin-embedded Human Kidney tissue using anti-ACY3 mouse monoclonal antibody.