Antibody data
- Antibody Data
- Antigen structure
- References [0]
- Comments [0]
- Validations
- Western blot [1]
- Immunocytochemistry [2]
- Immunoprecipitation [1]
- Immunohistochemistry [3]
Submit
Validation data
Reference
Comment
Report error
- Product number
- GTX31144 - Provider product page

- Provider
- GeneTex
- Product name
- RhoA + RhoC antibody [1B3-4A10]
- Antibody type
- Monoclonal
- Reactivity
- Human, Mouse
- Host
- Mouse
- Storage
- -20¢XC
No comments: Submit comment
Supportive validation
- Submitted by
- GeneTex (provider)
- Main image

- Experimental details
- WB analysis of various cell lysates (25 μg per lane) or purified proteins (0.5 μg of RhoA, RhoB, and a GST-RhoC fusion) using RhoA + RhoC antibody [1B3-4A10] at a dilution of 1:1000.
Supportive validation
- Submitted by
- GeneTex (provider)
- Main image

- Experimental details
- ICC/IF analysis of HeLa cells with (right) or without (left) RhoA + RhoC antibody [1B3-4A10] at a dilution of 1:100 (green). F-actin (red) was stained with a flourescent red phalloidin and nuclei (blue) were stained with Hoechst or DAPI.
- Submitted by
- GeneTex (provider)
- Main image

- Experimental details
- ICC/IF analysis of A431 cells with (right) or without (left) RhoA + RhoC antibody [1B3-4A10] at a dilution of 1:100 (green). F-actin (red) was stained with a flourescent red phalloidin and nuclei (blue) were stained with Hoechst or DAPI.
Supportive validation
- Submitted by
- GeneTex (provider)
- Main image

- Experimental details
- IP analysis was performed with 500ug of HeLa lysate and 2ug of RhoA + RhoC antibody [1B3-4A10]. HeLa lysate control (left) and the precipitate (right) were detected by the same antibody at a dilution of 1:1000 with EasyBlot as secondary antibody.
Supportive validation
- Submitted by
- GeneTex (provider)
- Main image

- Experimental details
- IHC-P analysis of mouse liver tissue with (right) or without (left) RhoA + RhoC antibody [1B3-4A10] at a dilution of 1:100. To expose target proteins, antigen retrieval was performed using 10mM sodium citrate (pH 6.0), microwaved for 8-15 min.
- Submitted by
- GeneTex (provider)
- Main image

- Experimental details
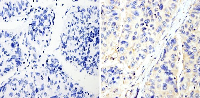
- IHC-P analysis of human hepatocarcinoma with (right) or without (left) RhoA + RhoC antibody [1B3-4A10] at a dilution of 1:200. To expose target proteins, antigen retrieval was performed using 10mM sodium citrate (pH 6.0), microwaved for 8-15 min.
- Submitted by
- GeneTex (provider)
- Main image

- Experimental details
- IHC-P analysis of human prostate carcinoma with (right) or without (left) RhoA + RhoC antibody [1B3-4A10] at a dilution of 1:200. To expose target proteins, antigen retrieval was performed using 10mM sodium citrate (pH 6.0), microwaved for 8-15 min.