Antibody data
- Antibody Data
- Antigen structure
- References [0]
- Comments [0]
- Validations
- Western blot [2]
- ELISA [1]
- Immunohistochemistry [2]
Submit
Validation data
Reference
Comment
Report error
- Product number
- AM31719PU-N - Provider product page

- Provider
- Acris Antibodies GmbH
- Proper citation
- Acris Antibodies GmbH Cat#AM31719PU-N, RRID:AB_10973967
- Product name
- anti RhoA
- Antibody type
- Monoclonal
- Antigen
- RHOA antibody was raised against RHOA (AAH01360, 1 a.a. ~ 194 a.a) full length recombinant protein with GST tag.
- Reactivity
- Human
- Host
- Mouse
- Isotype
- IgG
- Antibody clone number
- 1C1
- Vial size
- 50 µg
- Concentration
- 1.0 mg/ml
No comments: Submit comment
Supportive validation
- Submitted by
- Acris Antibodies GmbH (provider)
- Main image

- Experimental details
- Western Blot analysis of RHOA expression in HeLa cell lysate.
- Submitted by
- Acris Antibodies GmbH (provider)
- Main image

- Experimental details
- Western Blot analysis of RHOA expression in transfected 293T cell line. Lane 1: RHOA transfected lysate(21.8 KDa). Lane 2: Non-transfected lysate
Supportive validation
- Submitted by
- Acris Antibodies GmbH (provider)
- Main image

- Experimental details
- Detection limit for recombinant GST tagged RHOA is 3 ng/ml as a capture antibody.
Supportive validation
- Submitted by
- Acris Antibodies GmbH (provider)
- Main image

- Experimental details
- Human Breast: Formalin-Fixed, Paraffin-Embedded (FFPE)
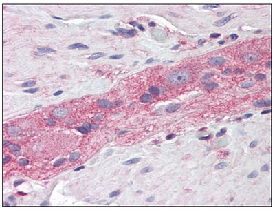
- Submitted by
- Acris Antibodies GmbH (provider)
- Main image

- Experimental details
- Human Small Intestine, Myenteric Plexus: Formalin-Fixed, Paraffin-Embedded (FFPE)