Antibody data
- Antibody Data
- Antigen structure
- References [1]
- Comments [0]
- Validations
- Immunohistochemistry [1]
Submit
Validation data
Reference
Comment
Report error
- Product number
- NBP1-91805 - Provider product page

- Provider
- Novus Biologicals
- Proper citation
- Novus Cat#NBP1-91805, RRID:AB_11011407
- Product name
- Rabbit Polyclonal COPS6 Antibody
- Antibody type
- Polyclonal
- Description
- Immunogen affinity purified. Specificity of human COPS6 antibody verified on a Protein Array containing target protein plus 383 other non-specific proteins.
- Reactivity
- Human
- Host
- Rabbit
- Isotype
- IgG
- Vial size
- 0.1 ml
- Storage
- Store at 4C short term. Aliquot and store at -20C long term. Avoid freeze-thaw cycles.
Submitted references Bone Morphogenetic Proteins and myostatin pathways: key mediator of human sarcopenia.
Scimeca M, Piccirilli E, Mastrangeli F, Rao C, Feola M, Orlandi A, Gasbarra E, Bonanno E, Tarantino U
Journal of translational medicine 2017 Feb 15;15(1):34
Journal of translational medicine 2017 Feb 15;15(1):34
No comments: Submit comment
Supportive validation
- Submitted by
- Novus Biologicals (provider)
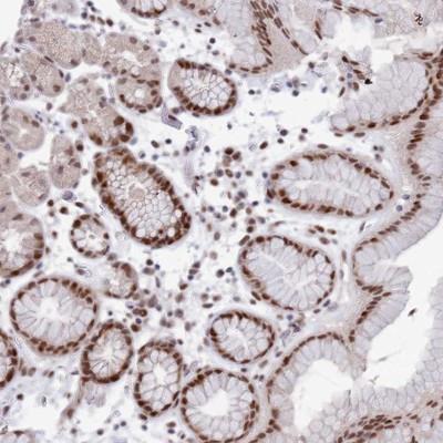
- Main image

- Experimental details
- Immunohistochemistry-Paraffin: COPS6 Antibody [NBP1-91805] - Staining of human stomach, lower shows distinct nuclear positivity in glandular cells.