Antibody data
- Antibody Data
- Antigen structure
- References [1]
- Comments [0]
- Validations
- Immunocytochemistry [1]
- Immunohistochemistry [1]
Submit
Validation data
Reference
Comment
Report error
- Product number
- PA5-61376 - Provider product page

- Provider
- Invitrogen Antibodies
- Product name
- mPR alpha Polyclonal Antibody
- Antibody type
- Polyclonal
- Antigen
- Recombinant protein fragment
- Description
- Immunogen sequence: MAMAQKLSHL LPSLRQVIQE PQLSLQPEPV FTVDRAEVPP LFWKPYIYAG YRPLHQTWRF YFRTLFQQHN EA Highest antigen sequence identity to the following orthologs: Mouse - 78%, Rat - 81%.
- Reactivity
- Human
- Host
- Rabbit
- Isotype
- IgG
- Vial size
- 100 μL
- Concentration
- 0.2 mg/mL
- Storage
- Store at 4°C short term. For long term storage, store at -20°C, avoiding freeze/thaw cycles.
Submitted references Defective RAB31-mediated megakaryocytic early endosomal trafficking of VWF, EGFR, and M6PR in RUNX1 deficiency.
Jalagadugula G, Mao G, Goldfinger LE, Wurtzel J, Del Carpio-Cano F, Lambert MP, Estevez B, French DL, Poncz M, Rao AK
Blood advances 2022 Sep 13;6(17):5100-5112
Blood advances 2022 Sep 13;6(17):5100-5112
No comments: Submit comment
Supportive validation
- Submitted by
- Invitrogen Antibodies (provider)
- Main image

- Experimental details
- Immunofluorecent analysis of mPR alpha in human cell line A-431 using mPR alpha Polyclonal Antibody (Product # PA5-61376). Staining shows localization to cytosol.
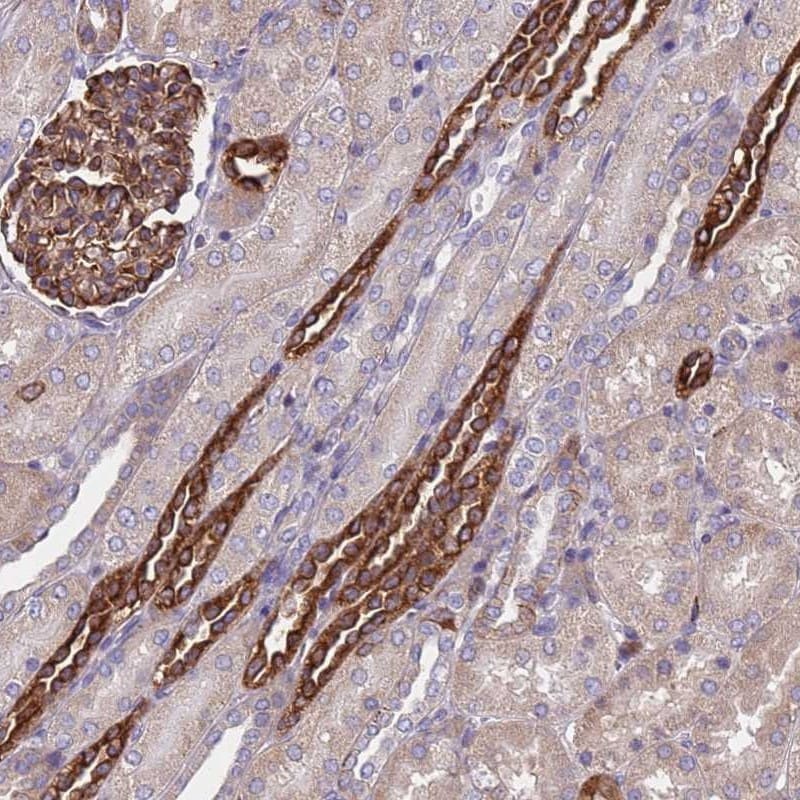
Supportive validation
- Submitted by
- Invitrogen Antibodies (provider)
- Main image

- Experimental details
- Immunohistochemical analysis of mPR alpha in human kidney using mPR alpha Polyclonal Antibody (Product # PA5-61376) shows strong cytoplasmic positivity in distal tubules and cells in glomeruli.