Antibody data
- Antibody Data
- Antigen structure
- References [1]
- Comments [0]
- Validations
- Immunohistochemistry [1]
Submit
Validation data
Reference
Comment
Report error
- Product number
- 17328-1-AP - Provider product page

- Provider
- Proteintech Group
- Product name
- GSG1L antibody
- Antibody type
- Polyclonal
- Description
- GSG1L antibody (Cat. #17328-1-AP) is a rabbit polyclonal antibody that shows reactivity with human and has been validated for the following applications: IHC, WB,ELISA.
- Reactivity
- Human
- Host
- Rabbit
- Conjugate
- Unconjugated
- Isotype
- IgG
- Vial size
- 20ul, 150ul
Submitted references GSG1L-containing AMPA receptor complexes are defined by their spatiotemporal expression, native interactome and allosteric sites.
Perozzo AM, Schwenk J, Kamalova A, Nakagawa T, Fakler B, Bowie D
Nature communications 2023 Oct 26;14(1):6799
Nature communications 2023 Oct 26;14(1):6799
No comments: Submit comment
Supportive validation
- Submitted by
- Proteintech Group (provider)
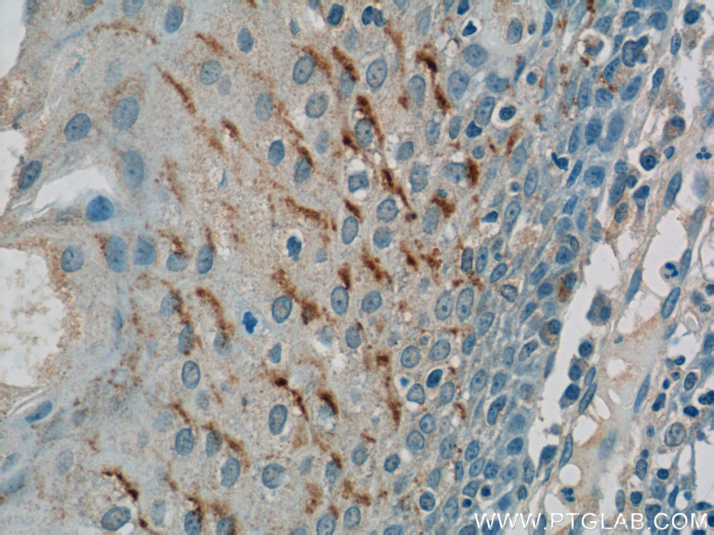
- Main image

- Experimental details
- The GSG1L antibody from Proteintech is a rabbit polyclonal antibody to a fusion protein of human GSG1L. This antibody recognizes human antigen. The GSG1L antibody has been validated for the following applications: ELISA, IHC analysis.