Antibody data
- Antibody Data
- Antigen structure
- References [0]
- Comments [0]
- Validations
- Western blot [1]
- Immunohistochemistry [1]
- Flow cytometry [1]
Submit
Validation data
Reference
Comment
Report error
- Product number
- AP12472b - Provider product page

- Provider
- Abcepta
- Proper citation
- Abgent Cat#AP12472b, RRID:AB_10818612
- Product name
- WFDC1 Antibody (C-term H163)
- Antibody type
- Polyclonal
- Antigen
- Synthetic peptide
- Description
- Peptide Affinity Purified Rabbit Polyclonal Antibody (Pab)
- Reactivity
- Human
- Host
- Rabbit
- Isotype
- IgG
- Vial size
- 400 µl
- Concentration
- 0.3 mg/ml
- Storage
- Maintain refrigerated at 2-8°C for up to 6 months. For long term storage store at -20°C in small aliquots to prevent freeze-thaw cycles.
No comments: Submit comment
Supportive validation
- Submitted by
- Abcepta (provider)
- Main image

- Experimental details
- WFDC1 Antibody (C-term H163) (Cat. #AP12472b) western blot analysis in Hela cell line lysates (35ug/lane).This demonstrates the WFDC1 antibody detected the WFDC1 protein (arrow).
- Primary Ab dilution
- 1:1000
Supportive validation
- Submitted by
- Abcepta (provider)
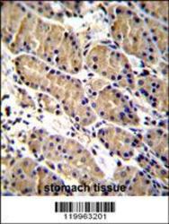
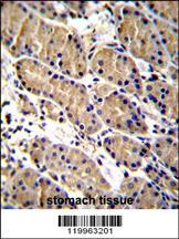
- Main image

- Experimental details
- WFDC1 Antibody (C-term H163) (Cat. #AP12472b)immunohistochemistry analysis in formalin fixed and paraffin embedded human stomach tissue followed by peroxidase conjugation of the secondary antibody and DAB staining.This data demonstrates the use of WFDC1 Antibody (C-term H163) for immunohistochemistry. Clinical relevance has not been evaluated.
- Primary Ab dilution
- 1:10~50
Supportive validation
- Submitted by
- Abcepta (provider)
- Main image

- Experimental details
- WFDC1 Antibody (C-term H163) (Cat. #AP12472b) flow cytometric analysis of Hela cells (right histogram) compared to a negative control cell (left histogram).FITC-conjugated goat-anti-rabbit secondary antibodies were used for the analysis.
- Primary Ab dilution
- 1:10~50