Antibody data
- Antibody Data
- Antigen structure
- References [0]
- Comments [0]
- Validations
- Western blot [1]
- Immunohistochemistry [1]
Submit
Validation data
Reference
Comment
Report error
- Product number
- AP54560PU-N - Provider product page

- Provider
- Acris Antibodies GmbH
- Proper citation
- Acris Antibodies GmbH Cat#AP54560PU-N, RRID:AB_11146929
- Product name
- anti WFDC1 / PS20 (C-term)
- Antibody type
- Polyclonal
- Antigen
- KLH conjugated synthetic peptide between 147-177 (H163)amino acids from the C-terminal region of human WFDC1
- Reactivity
- Human
- Host
- Rabbit
- Vial size
- 0.4 ml
- Concentration
- lot specific
No comments: Submit comment
Supportive validation
- Submitted by
- Acris Antibodies GmbH (provider)
- Main image

- Experimental details
- WFDC1 Antibody (C-term H163) (AP54560PU-N) western blot analysis in Hela cell line lysates (35 µg/lane). This demonstrates the WFDC1 antibody detected the WFDC1 protein (arrow).
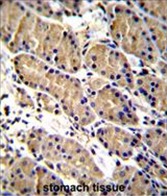
Supportive validation
- Submitted by
- Acris Antibodies GmbH (provider)
- Main image

- Experimental details
- WFDC1 Antibody (C-term H163) (AP54560PU-N)immunohistochemistry analysis in formalin fixed and paraffin embedded human stomach tissue followed by peroxidase conjugation of the secondary antibody and DAB staining. This data demonstrates the use of WFDC1 Antibody (C-term H163) for immunohistochemistry. Clinical relevance has not been evaluated.