Antibody data
- Antibody Data
- Antigen structure
- References [0]
- Comments [0]
- Validations
- Western blot [1]
- Immunohistochemistry [1]
Submit
Validation data
Reference
Comment
Report error
- Product number
- AP54560PU-N - Provider product page

- Provider
- OriGene
- Product name
- WFDC1 (C-term) rabbit polyclonal antibody, Aff - Purified
- Antibody type
- Polyclonal
- Description
- WFDC1 (C-term) rabbit polyclonal antibody, Aff - Purified
- Host
- Rabbit
- Conjugate
- Unconjugated
- Epitope
- WFDC1
- Antibody clone number
- NULL
- Vial size
- 400 µl
- Concentration
- lot specific
No comments: Submit comment
Supportive validation
- Submitted by
- OriGene (provider)
- Main image

- Experimental details
- WFDC1 Antibody (C-term H163) western blot analysis in Hela cell line lysates (35 ug/lane). This demonstrates the WFDC1 antibody detected the WFDC1 protein (arrow).
- Validation comment
- WB
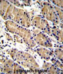
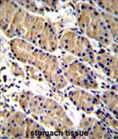
Supportive validation
- Submitted by
- OriGene (provider)
- Main image

- Experimental details
- WFDC1 Antibody (C-term H163) immunohistochemistry analysis in formalin fixed and paraffin embedded human stomach tissue followed by peroxidase conjugation of the secondary antibody and DAB staining. This data demonstrates the use of WFDC1 Antibody (C-term H163) for immunohistochemistry. Clinical relevance has not been evaluated.
- Validation comment
- IHC