Antibody data
- Antibody Data
- Antigen structure
- References [2]
- Comments [0]
- Validations
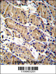
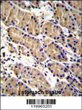
- Immunohistochemistry [1]
Submit
Validation data
Reference
Comment
Report error
- Product number
- ABIN2845698 - Provider product page

- Provider
- antibodies-online
- Product name
- anti-WAP Four-Disulfide Core Domain 1 (WFDC1) (AA 148-177), (C-Term) antibody
- Antibody type
- Polyclonal
- Description
- This antibody is purified through a protein A column, followed by peptide affinity purification.
- Reactivity
- Human
- Host
- Rabbit
- Epitope
- AA 148-177, C-Term
- Antibody clone number
- RB19963
- Vial size
- 80 μL
- Storage
- WFDC1 Antibody (C-term H163) can be refrigerated at 2-8°C for up to 6 months. For long term storage, place the at -20°C.
Submitted references Supervised machine learning and logistic regression identifies novel epistatic risk factors with PTPN22 for rheumatoid arthritis.
Modulated expression of WFDC1 during carcinogenesis and cellular senescence.
Briggs FB, Ramsay PP, Madden E, Norris JM, Holers VM, Mikuls TR, Sokka T, Seldin MF, Gregersen PK, Criswell LA, Barcellos LF
Genes and immunity 2010 Apr;11(3):199-208
Genes and immunity 2010 Apr;11(3):199-208
Modulated expression of WFDC1 during carcinogenesis and cellular senescence.
Madar S, Brosh R, Buganim Y, Ezra O, Goldstein I, Solomon H, Kogan I, Goldfinger N, Klocker H, Rotter V
Carcinogenesis 2009 Jan;30(1):20-7
Carcinogenesis 2009 Jan;30(1):20-7
No comments: Submit comment
Supportive validation
- Submitted by
- antibodies-online (provider)
- Main image

- Experimental details
- IHC