Antibody data
- Antibody Data
- Antigen structure
- References [1]
- Comments [0]
- Validations
- Immunohistochemistry [1]
Submit
Validation data
Reference
Comment
Report error
- Product number
- NBP1-87207 - Provider product page

- Provider
- Novus Biologicals
- Proper citation
- Novus Cat#NBP1-87207, RRID:AB_11007788
- Product name
- Rabbit Polyclonal WFDC1 Antibody
- Antibody type
- Polyclonal
- Description
- Immunogen affinity purified. Specificity of human WFDC1 antibody verified on a Protein Array containing target protein plus 383 other non-specific proteins.
- Reactivity
- Human, Mouse
- Host
- Rabbit
- Isotype
- IgG
- Vial size
- 0.1 ml
- Storage
- Store at 4C short term. Aliquot and store at -20C long term. Avoid freeze-thaw cycles.
Submitted references ABCB5 maintains melanoma-initiating cells through a proinflammatory cytokine signaling circuit.
Wilson BJ, Saab KR, Ma J, Schatton T, Pütz P, Zhan Q, Murphy GF, Gasser M, Waaga-Gasser AM, Frank NY, Frank MH
Cancer research 2014 Aug 1;74(15):4196-207
Cancer research 2014 Aug 1;74(15):4196-207
No comments: Submit comment
Supportive validation
- Submitted by
- Novus Biologicals (provider)
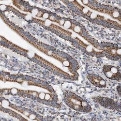
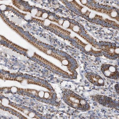
- Main image

- Experimental details
- Immunohistochemistry-Paraffin: WFDC1 Antibody [NBP1-87207] - Staining of human duodenum shows strong granular positivity in glandular cells.