Antibody data
- Antibody Data
- Antigen structure
- References [5]
- Comments [0]
- Validations
- Western blot [1]
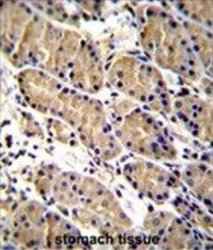
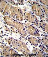
- Immunohistochemistry [1]
Submit
Validation data
Reference
Comment
Report error
- Product number
- ABIN955571 - Provider product page

- Provider
- antibodies-online
- Product name
- anti-WAP Four-Disulfide Core Domain 1 (WFDC1) (AA 147-177), (C-Term), (His163) antibody
- Antibody type
- Polyclonal
- Description
- Protein A column followed by peptide affinity purification
- Reactivity
- Human
- Host
- Rabbit
- Epitope
- AA 147-177, C-Term, His163
- Vial size
- 0.4 mL
- Storage
- Store at 2 - 8°C for up to six months or (in aliquots) at -20°C for longer.
- Handling
- Avoid repeated freezing and thawing.
Submitted references Supervised machine learning and logistic regression identifies novel epistatic risk factors with PTPN22 for rheumatoid arthritis.
Expression and functional analysis of the WAP four disulfide core domain 1 gene in human melanoma.
Modulated expression of WFDC1 during carcinogenesis and cellular senescence.
WFDC1/ps20 is a novel innate immunomodulatory signature protein of human immunodeficiency virus (HIV)-permissive CD4+ CD45RO+ memory T cells that promotes infection by upregulating CD54 integrin expression and is elevated in HIV type 1 infection.
Molecular analysis of WFDC1/ps20 gene in prostate cancer.
Briggs FB, Ramsay PP, Madden E, Norris JM, Holers VM, Mikuls TR, Sokka T, Seldin MF, Gregersen PK, Criswell LA, Barcellos LF
Genes and immunity 2010 Apr;11(3):199-208
Genes and immunity 2010 Apr;11(3):199-208
Expression and functional analysis of the WAP four disulfide core domain 1 gene in human melanoma.
Liu S, Howell P, Ren S, Fodstad O, Zhang G, Samant R, Shevde L, Xi Y, Pannell LK, Riker AI
Clinical & experimental metastasis 2009;26(7):739-49
Clinical & experimental metastasis 2009;26(7):739-49
Modulated expression of WFDC1 during carcinogenesis and cellular senescence.
Madar S, Brosh R, Buganim Y, Ezra O, Goldstein I, Solomon H, Kogan I, Goldfinger N, Klocker H, Rotter V
Carcinogenesis 2009 Jan;30(1):20-7
Carcinogenesis 2009 Jan;30(1):20-7
WFDC1/ps20 is a novel innate immunomodulatory signature protein of human immunodeficiency virus (HIV)-permissive CD4+ CD45RO+ memory T cells that promotes infection by upregulating CD54 integrin expression and is elevated in HIV type 1 infection.
Alvarez R, Reading J, King DF, Hayes M, Easterbrook P, Farzaneh F, Ressler S, Yang F, Rowley D, Vyakarnam A
Journal of virology 2008 Jan;82(1):471-86
Journal of virology 2008 Jan;82(1):471-86
Molecular analysis of WFDC1/ps20 gene in prostate cancer.
Watson JE, Kamkar S, James K, Kowbel D, Andaya A, Paris PL, Simko J, Carroll P, McAlhany S, Rowley D, Collins C
The Prostate 2004 Oct 1;61(2):192-9
The Prostate 2004 Oct 1;61(2):192-9
No comments: Submit comment
Supportive validation
- Submitted by
- antibodies-online (provider)
- Main image

- Experimental details
- WB
Supportive validation
- Submitted by
- antibodies-online (provider)
- Main image

- Experimental details
- IHC