Antibody data
- Antibody Data
- Antigen structure
- References [0]
- Comments [0]
- Validations
- Western blot [1]
- Immunohistochemistry [1]
Submit
Validation data
Reference
Comment
Report error
- Product number
- GTX87807 - Provider product page

- Provider
- GeneTex
- Proper citation
- GeneTex Cat#GTX87807, RRID:AB_10722103
- Product name
- UBXD5 antibody
- Antibody type
- Polyclonal
- Reactivity
- Human
- Host
- Rabbit
No comments: Submit comment
Supportive validation
- Submitted by
- GeneTex (provider)
- Main image

- Experimental details
- Western blot analysis of extracts from HepG2 cells, using UBXD5 Antibody. The lane on the right is treated with the synthesized peptide.
- Validation comment
- WB
Supportive validation
- Submitted by
- GeneTex (provider)
- Main image

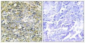
- Experimental details
- Immunohistochemistry analysis of paraffin-embedded human lung carcinoma tissue, using UBXD5 Antibody. The picture on the right is treated with the synthesized peptide.