Antibody data
- Antibody Data
- Antigen structure
- References [0]
- Comments [0]
- Validations
- Western blot [3]
- Immunocytochemistry [1]
- Immunohistochemistry [1]
- Flow cytometry [1]
Submit
Validation data
Reference
Comment
Report error
- Product number
- GTX628139 - Provider product page

- Provider
- GeneTex
- Product name
- Lin28A antibody [GT1086]
- Antibody type
- Monoclonal
- Reactivity
- Human
- Host
- Mouse
No comments: Submit comment
Supportive validation
- Submitted by
- GeneTex (provider)
- Main image

- Experimental details
- Sample (30 ug of whole cell lysate) A: Non-transfected HeLa lysates B: LIN28 transfected HeLa lysates 12% SDS PAGE GTX628139 diluted at 1:1000
- Submitted by
- GeneTex (provider)
- Main image

- Experimental details
- Lin28A antibody [GT717] detects Lin28A protein by Western blot analysis.A. 30 £gg human ESC whole cell lysate/extract12 % SDS-PAGELin28A antibody [GT717] (GTX628139) dilution: 1:1000
- Submitted by
- GeneTex (provider)
- Main image

- Experimental details
- Sample (30 ug of whole cell lysate) A: NT2D1 12% SDS PAGE GTX628139 diluted at 1:1000
Supportive validation
- Submitted by
- GeneTex (provider)
- Main image

- Experimental details
- LIN28 antibody detects LIN28 protein by immunofluorescent analysis. Sample: human embryonic stem cell were fixed in 4% paraformaldehyde for 15 min. Green: LIN28 protein stained by LIN28 antibody (GTX628139) diluted at 1:500. Blue: Hoechst 33342 staining. Scale bar = 10 £gm.
Supportive validation
- Submitted by
- GeneTex (provider)
- Main image

- Experimental details
- Lin28A antibody detects Lin28A protein at cytosol on U87 xenograft by immunohistochemical analysis. Sample: Paraffin-embedded U87 xenograft. Lin28A antibody (GTX628139) dilution: 1:100.
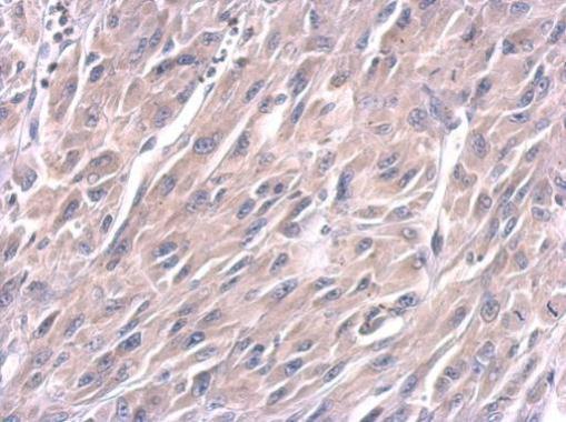
Supportive validation
- Submitted by
- GeneTex (provider)
- Main image

- Experimental details
- Lin28A antibody [GT1086] detects Lin28A protein by flow cytomertry analysis. Sample: Human embryonic stem cells Black: Isotype control dilution: 1:50 Green: Lin28A antibody [GT1086] dilution: 1:50