Antibody data
- Antibody Data
- Antigen structure
- References [0]
- Comments [0]
- Validations
- Western blot [2]
- Immunohistochemistry [1]
Submit
Validation data
Reference
Comment
Report error
- Product number
- GTX55448 - Provider product page

- Provider
- GeneTex
- Product name
- NUDC (phospho Ser326) antibody
- Antibody type
- Polyclonal
- Reactivity
- Human, Rat
- Host
- Rabbit
No comments: Submit comment
Supportive validation
- Submitted by
- GeneTex (provider)
- Main image

- Experimental details
- Western blot analysis of extracts from rat brain cells, using NudC (Phospho-Ser326) antibody. The lane on the right is treated with the synthesized peptide.
- Submitted by
- GeneTex (provider)
- Main image

- Experimental details
- Western blot analysis of extracts from HepG2 cells (Lane 2), using NudC (Phospho-Ser326) Antibody. The lane on the left is treated with synthesized peptide.
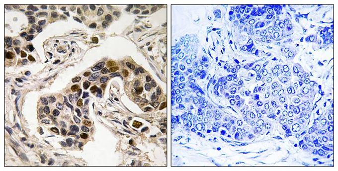
Supportive validation
- Submitted by
- GeneTex (provider)
- Main image

- Experimental details
- Immunohistochemistry analysis of paraffin-embedded human breast carcinoma tissue using NudC (Phospho-Ser326) antibody. The picture on the right is treated with the synthesized peptide.