Antibody data
- Antibody Data
- Antigen structure
- References [46]
- Comments [0]
- Validations
- Western blot [1]
- Immunohistochemistry [2]
Submit
Validation data
Reference
Comment
Report error
- Product number
- 13363-1-AP - Provider product page 
- Provider
- Proteintech Group
- Proper citation
- Proteintech Cat#13363-1-AP, RRID:AB_2088552
- Product name
- CYP11A1 antibody
- Antibody type
- Polyclonal
- Description
- CYP11A1 antibody (Cat. #13363-1-AP) is a rabbit polyclonal antibody that shows reactivity with human, rat, mouse and has been validated for the following applications: IHC, WB,ELISA.
- Reactivity
- Human, Mouse, Rat
- Host
- Rabbit
- Conjugate
- Unconjugated
- Isotype
- IgG
- Vial size
- 20ul, 150ul
Submitted references		Cyclophosphamide activates ferroptosis-induced dysfunction of Leydig cells via SMAD2 pathway†.
				
Environmental cadmium inhibits testicular testosterone synthesis via Parkin-dependent MFN1 degradation.
				
Ursonic acid attenuates spermatogenesis in oligozoospermia mice through inhibiting ferroptosis.
				
Ascorbic Acid Protects Bone Marrow from Oxidative Stress and Transient Elevation of Corticosterone Caused by X-ray Exposure in Akr1a-Knockout Mice.
				
Alleviating 3-MCPD-induced male reproductive toxicity: Mechanistic insights and resveratrol intervention.
				
miR-6881-3p contributes to diminished ovarian reserve by regulating granulosa cell apoptosis by targeting SMAD4.
				
Impact of endocrine-active compounds on adrenal androgen production in pigs during neonatal period.
				
Exosomes derived from BMSCs ameliorate cyclophosphamide-induced testosterone deficiency by enhancing the autophagy of Leydig cells via the AMPK-mTOR signaling pathway.
				
Paternal cadmium exposure affects estradiol synthesis by impairing intracellular cholesterol homeostasis and mitochondrial function in offspring female mice.
				
Caffeic acid's role in mitigating polycystic ovary syndrome by countering apoptosis and ER stress triggered by oxidative stress.
				
N6-methyladenosine demethylase FTO related to hyperandrogenism in PCOS via AKT pathway.
				
Melatonin Inhibits Testosterone Synthesis in Rooster Leydig Cells by Targeting CXCL14 through miR-7481-3p.
				
Bisphenol S induces oxidative stress-mediated impairment of testosterone synthesis by inhibiting the Nrf2/HO-1 signaling pathway.
				
Rat Ovarian Function Is Impaired during Experimental Autoimmune Encephalomyelitis.
				
Lactoferrin Restores the Deoxynivalenol-Impaired Spermatogenesis and Blood-Testis Barrier Integrity via Improving the Antioxidant Capacity and Modifying the Cell Adhesion and Inflammatory Response.
				
Epg5 deficiency leads to primary ovarian insufficiency due to WT1 accumulation in mouse granulosa cells.
				
Impacts of elevated temperature on morphology, oxidative stress levels, and testosterone synthesis in ex vivo cultured porcine testicular tissue.
				
Prepubertal exposure to copper oxide nanoparticles induces Leydig cell injury with steroidogenesis disorders in mouse testes.
				
Androgens improve ovarian follicle function impaired by glucocorticoids through an androgen-IGF1-FSH synergistic effect.
				
Paternal cadmium exposure affects testosterone synthesis by reducing the testicular cholesterol pool in offspring mice.
				
In ovo injection of betaine promotes adrenal steroidogenesis in pre-hatched chicken fetuses.
				
The neurosteroid pregnenolone is synthesized by a mitochondrial P450 enzyme other than CYP11A1 in human glial cells.
				
Chronic exposure to polystyrene microplastics induced male reproductive toxicity and decreased testosterone levels via the LH-mediated LHR/cAMP/PKA/StAR pathway.
				
Effects of Bushen Yiyuan recipe on testosterone synthesis in Leydig cells of rats with exercise-induced low serum testosterone levels.
				
Low-Intensity Pulsed Ultrasound Alleviates Human Testicular Leydig Cell Senescence In Vitro.
				
Chronic exposure to propylparaben at the humanly relevant dose triggers ovarian aging in adult mice.
				
Prenatal exposure to propylparaben at human-relevant doses accelerates ovarian aging in adult mice.
				
An integrated RNA-Seq and network study reveals that valproate inhibited progesterone production in human granulosa cells.
				
Cadmium attenuates testosterone synthesis by promoting ferroptosis and blocking autophagosome-lysosome fusion.
				
Proteomics analysis reveals the effect of 1α,25(OH)(2)VD(3)-glycosides on development of early testes in piglets.
				
Melatonin inhibits lipid accumulation to repress prostate cancer progression by mediating the epigenetic modification of CES1.
				
PRMT5 regulates ovarian follicle development by facilitating Wt1 translation.
				
CYP11A1 Upregulation Leads to Trophoblast Oxidative Stress and Fetal Neurodevelopmental Toxicity That can be Rescued by Vitamin D.
				
La(2)O(3) Nanoparticles Induce Reproductive Toxicity Mediated by the Nrf-2/ARE Signaling Pathway in Kunming Mice.
				
Bisphenol A decreases progesterone synthesis in human ovarian granulosa cells.
				
Genipin improves reproductive health problems caused by circadian disruption in male mice.
				
Oxidized-LDL inhibits testosterone biosynthesis by affecting mitochondrial function and the p38 MAPK/COX-2 signaling pathway in Leydig cells.
				
Proteomic analysis of mouse ovaries during the prepubertal stages.
				
The ovarian estrogen synthesis function was impaired in Y123F mouse and partly restored by exogenous FSH supplement.
				
Mitochondrial Function Regulated by Mitoguardin-1/2 Is Crucial for Ovarian Endocrine Functions and Ovulation.
				
An Outer Mitochondrial Translocase, Tom22, Is Crucial for Inner Mitochondrial Steroidogenic Regulation in Adrenal and Gonadal Tissues.
				
1,25D3 prevents CD8(+)Tc2 skewing and asthma development through VDR binding changes to the Cyp11a1 promoter.
				
Ovarian-like differentiation in eutopic and ectopic endometrioses with aberrant FSH receptor, INSL3 and GATA4/6 expression.
				
Mitochondria-associated endoplasmic reticulum membrane (MAM) regulates steroidogenic activity via steroidogenic acute regulatory protein (StAR)-voltage-dependent anion channel 2 (VDAC2) interaction.
				
Pregnenolone can protect the brain from cannabis intoxication.
				
Immunohistochemical Characterization of S100A6 in the Murine Ovary.
				
		
	
			Liao S, Wei C, Wei G, Liang H, Peng F, Zhao L, Li Z, Liu C, Zhou Q
Biology of reproduction 2024 May 9;110(5):1012-1024
		Biology of reproduction 2024 May 9;110(5):1012-1024
Environmental cadmium inhibits testicular testosterone synthesis via Parkin-dependent MFN1 degradation.
			Wang TT, Zhu HL, Ouyang KW, Wang H, Luo YX, Zheng XM, Ling Q, Wang KW, Zhang J, Chang W, Lu Q, Zhang YF, Yuan Z, Li H, Xiong YW, Wei T, Wang H
Journal of hazardous materials 2024 May 15;470:134142
		Journal of hazardous materials 2024 May 15;470:134142
Ursonic acid attenuates spermatogenesis in oligozoospermia mice through inhibiting ferroptosis.
			Dong J, Dong Y, Chen H, Ye T, Chen G, Fan B, Wang X, Shi J, Wang C
Bioorganic chemistry 2024 Mar;144:107174
		Bioorganic chemistry 2024 Mar;144:107174
Ascorbic Acid Protects Bone Marrow from Oxidative Stress and Transient Elevation of Corticosterone Caused by X-ray Exposure in Akr1a-Knockout Mice.
			Bo T, Nohara H, Yamada KI, Miyata S, Fujii J
Antioxidants (Basel, Switzerland) 2024 Jan 25;13(2)
		Antioxidants (Basel, Switzerland) 2024 Jan 25;13(2)
Alleviating 3-MCPD-induced male reproductive toxicity: Mechanistic insights and resveratrol intervention.
			Wang KL, Chiang YF, Huang KC, Chen HY, Ali M, Hsia SM
Ecotoxicology and environmental safety 2024 Feb;271:115978
		Ecotoxicology and environmental safety 2024 Feb;271:115978
miR-6881-3p contributes to diminished ovarian reserve by regulating granulosa cell apoptosis by targeting SMAD4.
			Ju W, Zhao S, Wu H, Yu Y, Li Y, Liu D, Lian F, Xiang S
Reproductive biology and endocrinology : RB&E 2024 Feb 1;22(1):17
		Reproductive biology and endocrinology : RB&E 2024 Feb 1;22(1):17
Impact of endocrine-active compounds on adrenal androgen production in pigs during neonatal period.
			Knapczyk-Stwora K, Kozlowska A, Jastrzabek D, Grzesiak M, Slomczynska M, Koziorowski M
Environmental toxicology and pharmacology 2024 Apr;107:104435
		Environmental toxicology and pharmacology 2024 Apr;107:104435
Exosomes derived from BMSCs ameliorate cyclophosphamide-induced testosterone deficiency by enhancing the autophagy of Leydig cells via the AMPK-mTOR signaling pathway.
			Liang HY, Peng F, Pan MJ, Liao SL, Wei C, Wei GY, Xie X, Xue KY, Chen MK, Yang JK, Guo WB, Liu CD, Zhou QZ
Asian journal of andrology 2023;25(4):474-483
		Asian journal of andrology 2023;25(4):474-483
Paternal cadmium exposure affects estradiol synthesis by impairing intracellular cholesterol homeostasis and mitochondrial function in offspring female mice.
			Zhang Y, Zhou J, Zeng L, Xiong Y, Wang X, Xiang W, Su P
Ecotoxicology and environmental safety 2023 Sep 15;263:115280
		Ecotoxicology and environmental safety 2023 Sep 15;263:115280
Caffeic acid's role in mitigating polycystic ovary syndrome by countering apoptosis and ER stress triggered by oxidative stress.
			Chiang YF, Lin IC, Huang KC, Chen HY, Ali M, Huang YJ, Hsia SM
Biomedicine & pharmacotherapy = Biomedecine & pharmacotherapie 2023 Oct;166:115327
		Biomedicine & pharmacotherapy = Biomedecine & pharmacotherapie 2023 Oct;166:115327
N6-methyladenosine demethylase FTO related to hyperandrogenism in PCOS via AKT pathway.
			Jing YX, Li HX, Yue F, Li YM, Yu X, He JJ, Zhang XH
Gynecological endocrinology : the official journal of the International Society of Gynecological Endocrinology 2023 Oct 26;39(1):2276167
		Gynecological endocrinology : the official journal of the International Society of Gynecological Endocrinology 2023 Oct 26;39(1):2276167
Melatonin Inhibits Testosterone Synthesis in Rooster Leydig Cells by Targeting CXCL14 through miR-7481-3p.
			Xu H, Pu J, Teng Y, Zhu Q, Guo L, Zhao J, Ding H, Fang Y, Ma X, Liu H, Guo J, Lu W, Wang J
International journal of molecular sciences 2023 Nov 21;24(23)
		International journal of molecular sciences 2023 Nov 21;24(23)
Bisphenol S induces oxidative stress-mediated impairment of testosterone synthesis by inhibiting the Nrf2/HO-1 signaling pathway.
			Wang YX, Dai W, Li YZ, Wu ZY, Kan YQ, Zeng HC, He QZ
Journal of biochemical and molecular toxicology 2023 Mar;37(3):e23273
		Journal of biochemical and molecular toxicology 2023 Mar;37(3):e23273
Rat Ovarian Function Is Impaired during Experimental Autoimmune Encephalomyelitis.
			Milosevic A, Lavrnja I, Savic D, Milosevic K, Skuljec J, Bjelobaba I, Janjic MM
Cells 2023 Mar 30;12(7)
		Cells 2023 Mar 30;12(7)
Lactoferrin Restores the Deoxynivalenol-Impaired Spermatogenesis and Blood-Testis Barrier Integrity via Improving the Antioxidant Capacity and Modifying the Cell Adhesion and Inflammatory Response.
			Li Z, Zhao Y, Zong Q, Hu P, Bao W, Liu HY, Cai D
Antioxidants (Basel, Switzerland) 2023 Jan 9;12(1)
		Antioxidants (Basel, Switzerland) 2023 Jan 9;12(1)
Epg5 deficiency leads to primary ovarian insufficiency due to WT1 accumulation in mouse granulosa cells.
			Liu W, Chen M, Liu C, Wang L, Wei H, Zhang R, Ren Z, Chen Y, Luo M, Zhao J, Jiang H, Gao F, Li W
Autophagy 2023 Feb;19(2):644-659
		Autophagy 2023 Feb;19(2):644-659
Impacts of elevated temperature on morphology, oxidative stress levels, and testosterone synthesis in ex vivo cultured porcine testicular tissue.
			Wang K, Li Z, Li Y, Li X, Suo Y, Li C
Theriogenology 2023 Dec;212:181-188
		Theriogenology 2023 Dec;212:181-188
Prepubertal exposure to copper oxide nanoparticles induces Leydig cell injury with steroidogenesis disorders in mouse testes.
			Zheng X, Chen J, Kang L, Wei Y, Wu Y, Hong Y, Wang X, Li D, Shen L, Long C, Wei G, Wu S
Biochemical and biophysical research communications 2023 Apr 30;654:62-72
		Biochemical and biophysical research communications 2023 Apr 30;654:62-72
Androgens improve ovarian follicle function impaired by glucocorticoids through an androgen-IGF1-FSH synergistic effect.
			Gao L, Gao H, Wang W
Frontiers in endocrinology 2022;13:951928
		Frontiers in endocrinology 2022;13:951928
Paternal cadmium exposure affects testosterone synthesis by reducing the testicular cholesterol pool in offspring mice.
			Zhou J, Zhang Y, Zeng L, Wang X, Mu H, Wang M, Pan H, Su P
Ecotoxicology and environmental safety 2022 Sep 1;242:113947
		Ecotoxicology and environmental safety 2022 Sep 1;242:113947
In ovo injection of betaine promotes adrenal steroidogenesis in pre-hatched chicken fetuses.
			Abobaker H, Omer NA, Hu Y, Idriss AA, Zhao R
Poultry science 2022 Jun;101(6):101871
		Poultry science 2022 Jun;101(6):101871
The neurosteroid pregnenolone is synthesized by a mitochondrial P450 enzyme other than CYP11A1 in human glial cells.
			Lin YC, Cheung G, Porter E, Papadopoulos V
The Journal of biological chemistry 2022 Jul;298(7):102110
		The Journal of biological chemistry 2022 Jul;298(7):102110
Chronic exposure to polystyrene microplastics induced male reproductive toxicity and decreased testosterone levels via the LH-mediated LHR/cAMP/PKA/StAR pathway.
			Jin H, Yan M, Pan C, Liu Z, Sha X, Jiang C, Li L, Pan M, Li D, Han X, Ding J
Particle and fibre toxicology 2022 Feb 17;19(1):13
		Particle and fibre toxicology 2022 Feb 17;19(1):13
Effects of Bushen Yiyuan recipe on testosterone synthesis in Leydig cells of rats with exercise-induced low serum testosterone levels.
			Wang Y, Peng X, Zhou Z, Tang C, Liu W
Pharmaceutical biology 2022 Dec;60(1):1670-1678
		Pharmaceutical biology 2022 Dec;60(1):1670-1678
Low-Intensity Pulsed Ultrasound Alleviates Human Testicular Leydig Cell Senescence In Vitro.
			Han S, Luo J, Xu S, Zhao L, Yao C, Xu J, Tian R, Zhi E, Huang Y, Xia S, Li Z, Li P
International journal of molecular sciences 2022 Dec 27;24(1)
		International journal of molecular sciences 2022 Dec 27;24(1)
Chronic exposure to propylparaben at the humanly relevant dose triggers ovarian aging in adult mice.
			Yan W, Li M, Guo Q, Li X, Zhou S, Dai J, Zhang J, Wu M, Tang W, Wen J, Xue L, Jin Y, Luo A, Wang S
Ecotoxicology and environmental safety 2022 Apr 15;235:113432
		Ecotoxicology and environmental safety 2022 Apr 15;235:113432
Prenatal exposure to propylparaben at human-relevant doses accelerates ovarian aging in adult mice.
			Li M, Zhou S, Wu Y, Li Y, Yan W, Guo Q, Xi Y, Chen Y, Li Y, Wu M, Zhang J, Wei J, Wang S
Environmental pollution (Barking, Essex : 1987) 2021 Sep 15;285:117254
		Environmental pollution (Barking, Essex : 1987) 2021 Sep 15;285:117254
An integrated RNA-Seq and network study reveals that valproate inhibited progesterone production in human granulosa cells.
			Li S, Qi J, Sun Y, Gao X, Ma J, Zhao S
The Journal of steroid biochemistry and molecular biology 2021 Nov;214:105991
		The Journal of steroid biochemistry and molecular biology 2021 Nov;214:105991
Cadmium attenuates testosterone synthesis by promoting ferroptosis and blocking autophagosome-lysosome fusion.
			Zeng L, Zhou J, Wang X, Zhang Y, Wang M, Su P
Free radical biology & medicine 2021 Nov 20;176:176-188
		Free radical biology & medicine 2021 Nov 20;176:176-188
Proteomics analysis reveals the effect of 1α,25(OH)(2)VD(3)-glycosides on development of early testes in piglets.
			Chen H, Bühler K, Zhu Y, Nie X, Liu W
Scientific reports 2021 May 31;11(1):11341
		Scientific reports 2021 May 31;11(1):11341
Melatonin inhibits lipid accumulation to repress prostate cancer progression by mediating the epigenetic modification of CES1.
			Zhou L, Zhang C, Yang X, Liu L, Hu J, Hou Y, Tao H, Sugimura H, Chen Z, Wang L, Chen K
Clinical and translational medicine 2021 Jun;11(6):e449
		Clinical and translational medicine 2021 Jun;11(6):e449
PRMT5 regulates ovarian follicle development by facilitating Wt1 translation.
			Chen M, Dong F, Chen M, Shen Z, Wu H, Cen C, Cui X, Bao S, Gao F
eLife 2021 Aug 27;10
		eLife 2021 Aug 27;10
CYP11A1 Upregulation Leads to Trophoblast Oxidative Stress and Fetal Neurodevelopmental Toxicity That can be Rescued by Vitamin D.
			Wang X, Li M, Zhang X, Li Y, He G, Dinnyés A, Sun Q, Xu W
Frontiers in molecular biosciences 2020;7:608447
		Frontiers in molecular biosciences 2020;7:608447
La(2)O(3) Nanoparticles Induce Reproductive Toxicity Mediated by the Nrf-2/ARE Signaling Pathway in Kunming Mice.
			Yuan L, Li Q, Bai D, Shang X, Hu F, Chen Z, An T, Chen Y, Zhang X
International journal of nanomedicine 2020;15:3415-3431
		International journal of nanomedicine 2020;15:3415-3431
Bisphenol A decreases progesterone synthesis in human ovarian granulosa cells.
			Qi J, Liu L, Yang J, Gao X, Zhang W
Birth defects research 2020 Dec;112(20):1843-1849
		Birth defects research 2020 Dec;112(20):1843-1849
Genipin improves reproductive health problems caused by circadian disruption in male mice.
			Xu Y, Wang L, Cao S, Hu R, Liu R, Hua K, Guo Z, Di HJ, Hu Z
Reproductive biology and endocrinology : RB&E 2020 Dec 11;18(1):122
		Reproductive biology and endocrinology : RB&E 2020 Dec 11;18(1):122
Oxidized-LDL inhibits testosterone biosynthesis by affecting mitochondrial function and the p38 MAPK/COX-2 signaling pathway in Leydig cells.
			Jing J, Ding N, Wang D, Ge X, Ma J, Ma R, Huang X, Jueraitetibaike K, Liang K, Wang S, Cao S, Zhao AZ, Yao B
Cell death & disease 2020 Aug 14;11(8):626
		Cell death & disease 2020 Aug 14;11(8):626
Proteomic analysis of mouse ovaries during the prepubertal stages.
			Xiong J, Wu M, Zhang Q, Zhang C, Xiong G, Ma L, Lu Z, Wang S
Experimental cell research 2019 Apr 15;377(1-2):36-46
		Experimental cell research 2019 Apr 15;377(1-2):36-46
The ovarian estrogen synthesis function was impaired in Y123F mouse and partly restored by exogenous FSH supplement.
			Tu X, Liu M, Tang J, Zhang Y, Shi Y, Yu L, Sun Z
Reproductive biology and endocrinology : RB&E 2018 May 4;16(1):44
		Reproductive biology and endocrinology : RB&E 2018 May 4;16(1):44
Mitochondrial Function Regulated by Mitoguardin-1/2 Is Crucial for Ovarian Endocrine Functions and Ovulation.
			Liu XM, Zhang YL, Ji SY, Zhao LW, Shang WN, Li D, Chen Z, Tong C, Fan HY
Endocrinology 2017 Nov 1;158(11):3988-3999
		Endocrinology 2017 Nov 1;158(11):3988-3999
An Outer Mitochondrial Translocase, Tom22, Is Crucial for Inner Mitochondrial Steroidogenic Regulation in Adrenal and Gonadal Tissues.
			Rajapaksha M, Kaur J, Prasad M, Pawlak KJ, Marshall B, Perry EW, Whittal RM, Bose HS
Molecular and cellular biology 2016 Jan 19;36(6):1032-47
		Molecular and cellular biology 2016 Jan 19;36(6):1032-47
1,25D3 prevents CD8(+)Tc2 skewing and asthma development through VDR binding changes to the Cyp11a1 promoter.
			Schedel M, Jia Y, Michel S, Takeda K, Domenico J, Joetham A, Ning F, Strand M, Han J, Wang M, Lucas JJ, Vogelberg C, Kabesch M, O'Connor BP, Gelfand EW
Nature communications 2016 Jan 11;7:10213
		Nature communications 2016 Jan 11;7:10213
Ovarian-like differentiation in eutopic and ectopic endometrioses with aberrant FSH receptor, INSL3 and GATA4/6 expression.
			Fouquet B, Santulli P, Noel JC, Misrahi M
BBA clinical 2016 Dec;6:143-152
		BBA clinical 2016 Dec;6:143-152
Mitochondria-associated endoplasmic reticulum membrane (MAM) regulates steroidogenic activity via steroidogenic acute regulatory protein (StAR)-voltage-dependent anion channel 2 (VDAC2) interaction.
			Prasad M, Kaur J, Pawlak KJ, Bose M, Whittal RM, Bose HS
The Journal of biological chemistry 2015 Jan 30;290(5):2604-16
		The Journal of biological chemistry 2015 Jan 30;290(5):2604-16
Pregnenolone can protect the brain from cannabis intoxication.
			Vallée M, Vitiello S, Bellocchio L, Hébert-Chatelain E, Monlezun S, Martin-Garcia E, Kasanetz F, Baillie GL, Panin F, Cathala A, Roullot-Lacarrière V, Fabre S, Hurst DP, Lynch DL, Shore DM, Deroche-Gamonet V, Spampinato U, Revest JM, Maldonado R, Reggio PH, Ross RA, Marsicano G, Piazza PV
Science (New York, N.Y.) 2014 Jan 3;343(6166):94-8
		Science (New York, N.Y.) 2014 Jan 3;343(6166):94-8
Immunohistochemical Characterization of S100A6 in the Murine Ovary.
			Hanaue M, Miwa N, Takamatsu K
Acta histochemica et cytochemica 2012 Feb 29;45(1):9-14
		Acta histochemica et cytochemica 2012 Feb 29;45(1):9-14
				No comments: Submit comment	
	
			
							
					Supportive validation
					
									
				
				- Submitted by
- Proteintech Group (provider)
- Main image
 
- Experimental details
- human placenta tissue were subjected to SDS PAGE followed by western blot with 13363-1-AP(CYP11A1 antibody) at dilution of 1:800
- Sample type
- tissue
							
					Supportive validation
					
									
				
		
		- Submitted by
- Proteintech Group (provider)
- Main image
 
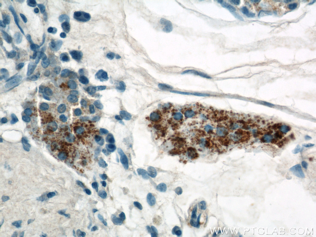
- Experimental details
- Immunohistochemical of paraffin-embedded human testis using 13363-1-AP(CYP11A1 antibody) at dilution of 1:50 (under 10x lens)
- Sample type
- tissue
- Submitted by
- Proteintech Group (provider)
- Main image
 
- Experimental details
- The CYP11A1 antibody from Proteintech is a rabbit polyclonal antibody to a recombinant protein of human CYP11A1. This antibody recognizes human antigen. The CYP11A1 antibody has been validated for the following applications: ELISA, WB, IHC analysis.