ARP46123_P050
antibody from Aviva Systems Biology
Targeting: MAGEA3
CT1.3, HIP8, HYPD, MAGE3, MGC14613
Antibody data
- Antibody Data
- Antigen structure
- References [0]
- Comments [0]
- Validations
- Western blot [1]
- Immunohistochemistry [1]
Submit
Validation data
Reference
Comment
Report error
- Product number
- ARP46123_P050 - Provider product page

- Provider
- Aviva Systems Biology
- Proper citation
- Aviva Systems Biology Cat#ARP46123_P050, RRID:AB_2046656
- Product name
- MAGEA3 antibody - middle region (ARP46123_P050)
- Antibody type
- Polyclonal
- Antigen
- The immunogen is a synthetic peptide directed towards the middle region of human MAGEA3
- Description
- Affinity Purified
- Reactivity
- Human
- Host
- Rabbit
- Vial size
- 100 μl
- Concentration
- Liquid. Purified antibody supplied in 1x PBS buffer with 0.09% (w/v) sodium azide and 2% sucrose.
- Storage
- For short term use, store at 2-8C up to 1 week. For long term storage, store at -20C in small aliquots to prevent freeze-thaw cycles.
No comments: Submit comment
Supportive validation
- Submitted by
- Aviva Systems Biology (provider)
- Main image

- Experimental details
- Western blot analysis using Anti-MAGEA3 antibody detects protein at predicted molecular weight using Fetal Liver Tissue as a positive control. Tissue/Lysate Concentration: 1ug/ml Antibody Concentration: 1.0ug/ml
- Sample type
- Fetal Liver Tissue
- Validation comment
- Western blot analysis detects protein at predicted molecular weight
- Primary Ab dilution
- 1.0ug/ml
- Other comments
- Lysate concentration 1ug/ml
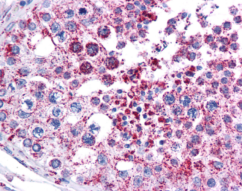
Supportive validation
- Submitted by
- Aviva Systems Biology (provider)
- Main image

- Experimental details
- Immunohistochemistry staining of Paraffin Embedded Testis using Anti-MAGEA3 antibody at a concentration of 4-8µg/ml
- Sample type
- Testis
- Validation comment
- The subcellular location is supported by literature.
- Primary Ab dilution
- 4-8µg/ml