Antibody data
- Antibody Data
- Antigen structure
- References [0]
- Comments [0]
- Validations
- Western blot [1]
- Immunohistochemistry [2]
Submit
Validation data
Reference
Comment
Report error
- Product number
- LS-C40504 - Provider product page

- Provider
- LSBio
- Proper citation
- LifeSpan Cat#LS-C40504, RRID:AB_2250829
- Product name
- MOSPD3 Antibody (C-Terminus) LS-C40504
- Antibody type
- Polyclonal
- Description
- Protein A purified
- Reactivity
- Human
- Host
- Rabbit
- Isotype
- IgG
- Storage
- Short term: Store at 2-8°C. Long term: Aliquot and store at -20°C. Avoid freeze/thaw cycles.
No comments: Submit comment
Enhanced validation
- Submitted by
- LSBio (provider)
- Enhanced method
- Genetic validation
- Main image

- Experimental details
- MOSPD3 antibody ARP44910_T100-NP_001035188-MOSPD3(motile sperm domain containing 3) Antibody Western blot of Jurkat lysate. This image was taken for the unconjugated form of this product. Other forms have not been tested.
Enhanced validation
- Submitted by
- LSBio (provider)
- Enhanced method
- Genetic validation
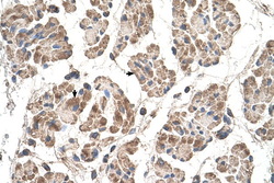
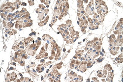
- Main image

- Experimental details
- MOSPD3 antibody ARP44910_T100-NP_001035188-MOSPD3(motile sperm domain containing 3) Antibody IHC of formalin-fixed, paraffin-embedded human Muscle. Positive label: Skeletal muscle cells indicated with arrows. Antibody concentration 4-8 ug/ml. Magnification 400X. This image was taken for the unconjugated form of this product. Other forms have not been tested.
- Submitted by
- LSBio (provider)
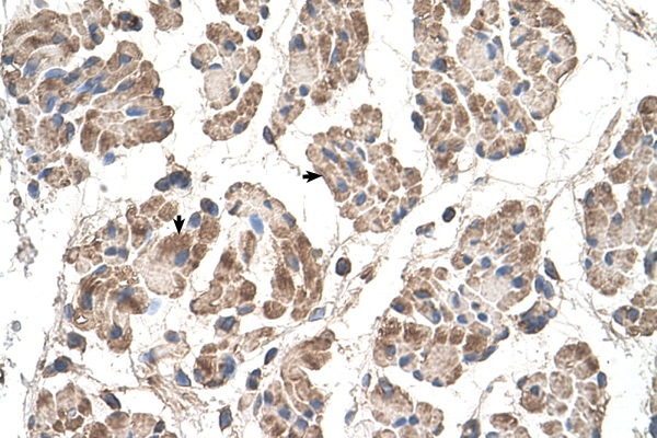
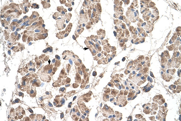
- Main image

- Experimental details
- MOSPD3 antibody ARP44910_T100-NP_001035188-MOSPD3(motile sperm domain containing 3) Antibody IHC of formalin-fixed, paraffin-embedded human Muscle. Positive label: Skeletal muscle cells indicated with arrows. Antibody concentration 4-8 ug/ml. Magnification 400X. This image was taken for the unconjugated form of this product. Other forms have not been tested.