Antibody data
- Antibody Data
- Antigen structure
- References [0]
- Comments [0]
- Validations
- Western blot [1]
- Immunohistochemistry [1]
Submit
Validation data
Reference
Comment
Report error
- Product number
- PA5-42665 - Provider product page

- Provider
- Invitrogen Antibodies
- Product name
- MOSPD3 Polyclonal Antibody
- Antibody type
- Polyclonal
- Antigen
- Synthetic peptide
- Description
- Peptide sequence: FLLFLLTGIV SVAFLLLPLP DELGSQLPQV LHVSLGQKLV AAYVLGLLTM Sequence homology: Cow: 92%; Dog: 92%; Goat: 77%; Guinea Pig: 92%; Horse: 92%; Human: 100%; Mouse: 100%; Rabbit: 92%; Rat: 100%
- Reactivity
- Human
- Host
- Rabbit
- Isotype
- IgG
- Vial size
- 100 μL
- Concentration
- 1 mg/mL
- Storage
- -20°C, Avoid Freeze/Thaw Cycles
No comments: Submit comment
Supportive validation
- Submitted by
- Invitrogen Antibodies (provider)
- Main image

- Experimental details
- Western blot analysis of human Jurkat cell lysate using an anti-MOSPD3 polyclonal antibody (Product # PA5-42665).
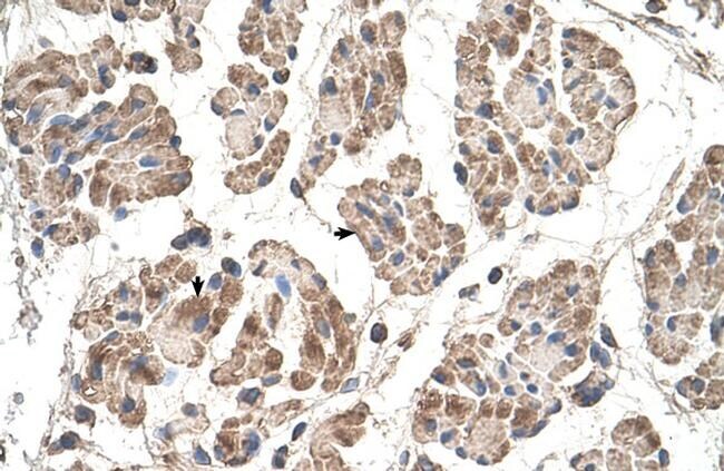
Supportive validation
- Submitted by
- Invitrogen Antibodies (provider)
- Main image

- Experimental details
- Immunohistochemistry analysis of human muscle tissue using an anti-MOSPD3 polyclonal antibody (Product # PA5-42665).