Antibody data
- Antibody Data
- Antigen structure
- References [0]
- Comments [0]
- Validations
- Immunocytochemistry [2]
- Immunohistochemistry [4]
Submit
Validation data
Reference
Comment
Report error
- Product number
- PA5-59443 - Provider product page

- Provider
- Invitrogen Antibodies
- Product name
- MOSPD3 Polyclonal Antibody
- Antibody type
- Polyclonal
- Antigen
- Recombinant protein fragment
- Description
- Immunogen sequence: QSCIDIVIRH VAPIPSHYDV QDRFRIELSE EGAEGRVVGR KDITSILRAP AYPLELQGQP DPAPRP Highest antigen sequence identity to the following orthologs: Mouse - 88%, Rat - 89%.
- Reactivity
- Human
- Host
- Rabbit
- Isotype
- IgG
- Vial size
- 100 μL
- Concentration
- 0.41 mg/mL
- Storage
- Store at 4°C short term. For long term storage, store at -20°C, avoiding freeze/thaw cycles.
No comments: Submit comment
Supportive validation
- Submitted by
- Invitrogen Antibodies (provider)
- Main image

- Experimental details
- Immunofluorescent staining of MOSPD3 in human cell line A-431 shows positivity in cytoplasm. Samples were probed using a MOSPD3 Polyclonal Antibody (Product # PA5-59443).
- Submitted by
- Invitrogen Antibodies (provider)
- Main image

- Experimental details
- Immunofluorecent analysis of MOSPD3 in human cell line A-431 using MOSPD3 Polyclonal Antibody (Product # PA5-59443). Staining shows localization to cytosol.
Supportive validation
- Submitted by
- Invitrogen Antibodies (provider)
- Main image

- Experimental details
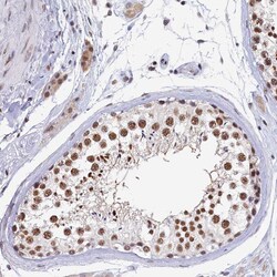
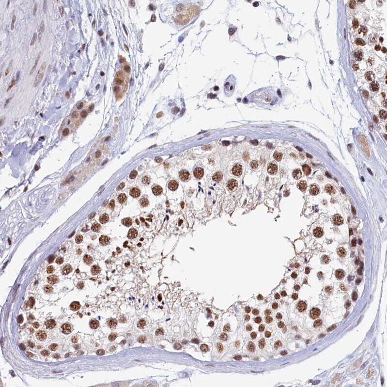
- Immunohistochemical analysis of MOSPD3 in human testis using MOSPD3 Polyclonal Antibody (Product # PA5-59443) shows moderate nuclear positivity in cells in seminiferous ducts.
- Submitted by
- Invitrogen Antibodies (provider)
- Main image

- Experimental details
- Immunohistochemical analysis of MOSPD3 in human colon using MOSPD3 Polyclonal Antibody (Product # PA5-59443) shows moderate nuclear positivity in glandular cells.
- Submitted by
- Invitrogen Antibodies (provider)
- Main image

- Experimental details
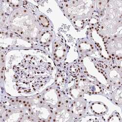
- Immunohistochemical analysis of MOSPD3 in human kidney using MOSPD3 Polyclonal Antibody (Product # PA5-59443) shows moderate nuclear positivity in cells in tubules and cells in glomeruli.
- Submitted by
- Invitrogen Antibodies (provider)
- Main image

- Experimental details
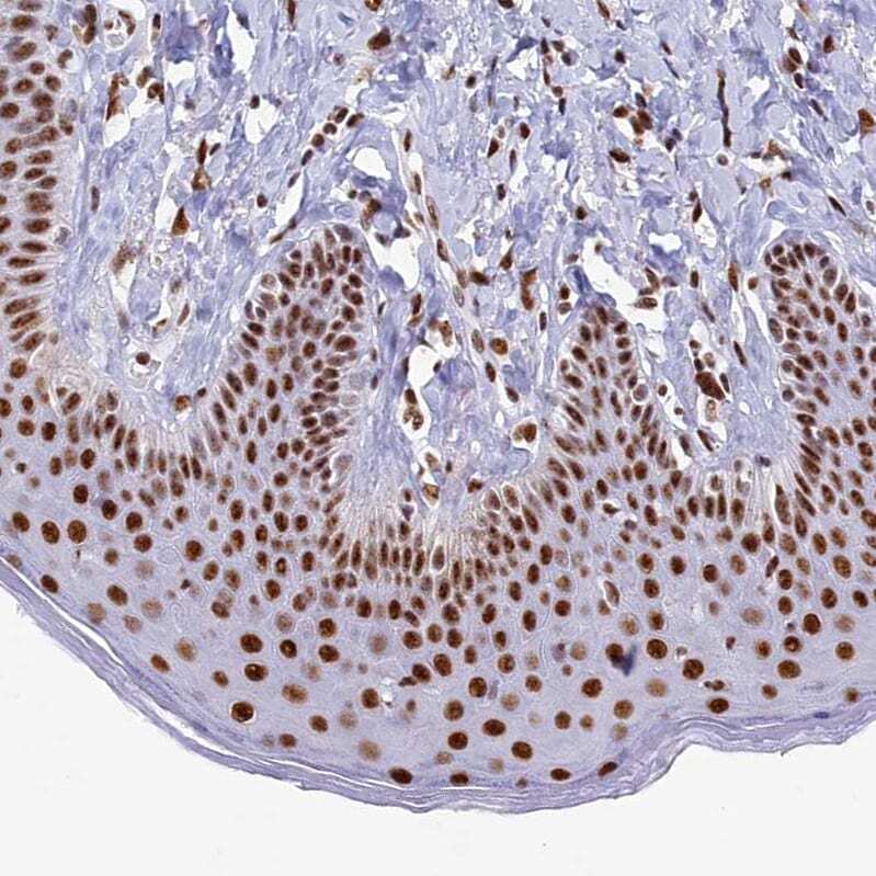
- Immunohistochemical analysis of MOSPD3 in human skin using MOSPD3 Polyclonal Antibody (Product # PA5-59443) shows strong nuclear positivity in squamous epithelial cells.