Antibody data
- Antibody Data
- Antigen structure
- References [0]
- Comments [0]
- Validations
- Immunocytochemistry [4]
- Immunohistochemistry [3]
Submit
Validation data
Reference
Comment
Report error
- Product number
- PA5-88885 - Provider product page

- Provider
- Invitrogen Antibodies
- Product name
- PGK2 Polyclonal Antibody
- Antibody type
- Polyclonal
- Antigen
- Recombinant full-length protein
- Description
- Immunogen sequence: YTFLKVLNNM EIGASLFDEE GAKIVKDIMA KAQKNGVRIT FPVDFVTGDK FDENAQVGKA TVASGISPGW MGLDCGPESN KNHAQVVAQA RLIVWNGPLG VFEWDAFAKG TKALMDEIV; Positive Samples: U-87MG, Jurkat, HeLa, HepG2, Mouse testis, Mouse brain, Mouse heart, Rat testis, Rat brain; Cellular Location: Cytoplasm
- Reactivity
- Human, Mouse, Rat
- Host
- Rabbit
- Isotype
- IgG
- Vial size
- 100 μL
- Concentration
- 0.53 mg/mL
- Storage
- -20°C, Avoid Freeze/Thaw Cycles
No comments: Submit comment
Supportive validation
- Submitted by
- Invitrogen Antibodies (provider)
- Main image

- Experimental details
- Immunocytochemistry-Immunofluorescence analysis of PGK2 was performed in C6 cells using PGK2 Polyclonal Antibody (Product # PA5-88885) at a dilution of 1:100. Blue: DAPI for nuclear staining.
- Submitted by
- Invitrogen Antibodies (provider)
- Main image

- Experimental details
- Immunocytochemistry-Immunofluorescence analysis of PGK2 was performed in L929 cells using PGK2 Polyclonal Antibody (Product # PA5-88885) at a dilution of 1:100. Blue: DAPI for nuclear staining.
- Submitted by
- Invitrogen Antibodies (provider)
- Main image

- Experimental details
- Immunofluorescence analysis of PGK2 in C6 cells. Samples were incubated with PGK2 Polyclonal antibody (Product # PA5-88885) using a dilution of 1:100 (40x lens). Blue: DAPI for nuclear staining.
- Submitted by
- Invitrogen Antibodies (provider)
- Main image

- Experimental details
- Immunofluorescence analysis of PGK2 in L929 cells. Samples were incubated with PGK2 Polyclonal antibody (Product # PA5-88885) using a dilution of 1:100 (40x lens). Blue: DAPI for nuclear staining.
Supportive validation
- Submitted by
- Invitrogen Antibodies (provider)
- Main image

- Experimental details
- Immunohistochemistry analysis of PGK2 in paraffin-embedded human mammary cancer. Samples were incubated with PGK2 Polyclonal antibody (Product # PA5-88885) using a dilution of 1:100 (40x lens). Perform microwave antigen retrieval with 10 mM PBS buffer pH 7.2 before commencing with IHC staining protocol.
- Submitted by
- Invitrogen Antibodies (provider)
- Main image

- Experimental details
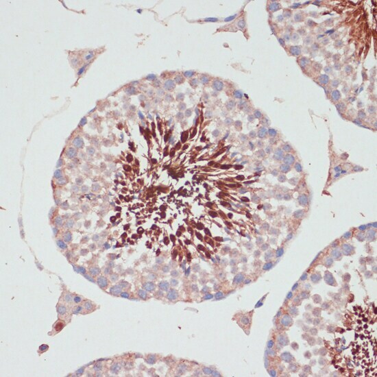
- Immunohistochemistry analysis of PGK2 in paraffin-embedded rat testis. Samples were incubated with PGK2 Polyclonal antibody (Product # PA5-88885) using a dilution of 1:100 (40x lens). Perform microwave antigen retrieval with 10 mM PBS buffer pH 7.2 before commencing with IHC staining protocol.
- Submitted by
- Invitrogen Antibodies (provider)
- Main image

- Experimental details
- Immunohistochemistry analysis of PGK2 in paraffin-embedded mouse testis. Samples were incubated with PGK2 Polyclonal antibody (Product # PA5-88885) using a dilution of 1:100 (40x lens). Perform microwave antigen retrieval with 10 mM PBS buffer pH 7.2 before commencing with IHC staining protocol.