Antibody data
- Antibody Data
- Antigen structure
- References [0]
- Comments [0]
- Validations
- Western blot [1]
- ELISA [1]
- Immunocytochemistry [1]
- Immunohistochemistry [2]
- Flow cytometry [2]
Submit
Validation data
Reference
Comment
Report error
- Product number
- MA5-31848 - Provider product page

- Provider
- Invitrogen Antibodies
- Product name
- PKHD1 Monoclonal Antibody (8G12A1)
- Antibody type
- Monoclonal
- Antigen
- Purifed from natural sources
- Description
- MA5-31848 has been tested in indirect ELISA.
- Reactivity
- Human, Mouse
- Host
- Mouse
- Isotype
- IgG
- Antibody clone number
- 8G12A1
- Vial size
- 100 μL
- Concentration
- 1 mg/mL
- Storage
- Store at 4°C short term. For long term storage, store at -20°C, avoiding freeze/thaw cycles.
No comments: Submit comment
Supportive validation
- Submitted by
- Invitrogen Antibodies (provider)
- Main image

- Experimental details
- Western blot analysis of PKHD1 in mouse PKHD1 recombinant protein. Sample was incubated with PKHD1 monoclonal antibody (Product # MA5-31848).
Supportive validation
- Submitted by
- Invitrogen Antibodies (provider)
- Main image

- Experimental details
- ELISA analysis of PKHD1 in Control Antigen (black line, 100 ng); Antigen (purple line, 10 ng); Antigen (blue line, 50 ng); Antigen (red line, 100 ng). Samples were incubated with PKHD1 monoclonal antibody (Product # MA5-31848) using a dilution of 1:10,000.
Supportive validation
- Submitted by
- Invitrogen Antibodies (provider)
- Main image

- Experimental details
- Immunocytochemistry analysis of PKHD1 in A431 cells (green). Sample was incubated with PKHD1 monoclonal antibody (Product # MA5-31848) using a dilution of 1:200-1:1000 followed by DRAQ5 fluorescent DNA dye (blue), and Alexa Fluor- 555 phalloidin (red labeled actin filaments) .
Supportive validation
- Submitted by
- Invitrogen Antibodies (provider)
- Main image

- Experimental details
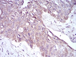
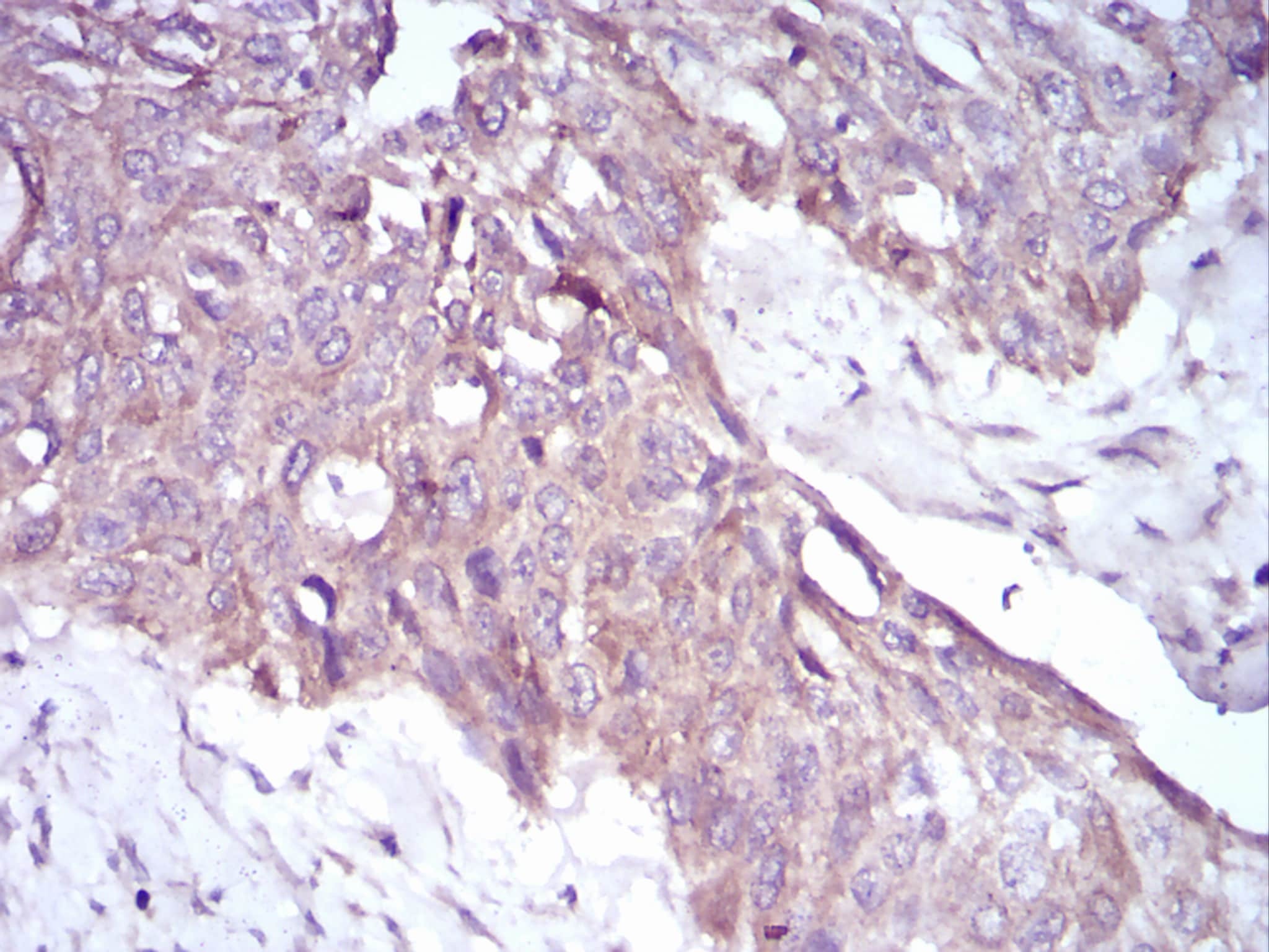
- Immunohistochemistry analysis of PKHD1 in paraffin-embedded esophageal cancer tissue. Sample was incubated with PKHD1 monoclonal antibody (Product # MA5-31848) using a dilution of 1:200-1:1000 followed by DAB staining.
- Submitted by
- Invitrogen Antibodies (provider)
- Main image

- Experimental details
- Immunohistochemistry analysis of PKHD1 in paraffin-embedded esophageal cancer tissue. Sample was incubated with PKHD1 monoclonal antibody (Product # MA5-31848) using a dilution of 1:200-1:1000 followed by DAB staining.
Supportive validation
- Submitted by
- Invitrogen Antibodies (provider)
- Main image

- Experimental details
- Flow cytometry of PKHD1 in HeLa cells (green). Sample was incubated with PKHD1 monoclonal antibody (Product # MA5-31848) using a dilution of 1:200-1:400 followed by negative control (red).
- Submitted by
- Invitrogen Antibodies (provider)
- Main image

- Experimental details
- Flow cytometry of PKHD1 in HeLa cells (green). Sample was incubated with PKHD1 monoclonal antibody (Product # MA5-31848) using a dilution of 1:200-1:400 followed by negative control (red).