Antibody data
- Antibody Data
- Antigen structure
- References [0]
- Comments [0]
- Validations
- Western blot [1]
- Immunohistochemistry [1]
- Flow cytometry [1]
Submit
Validation data
Reference
Comment
Report error
- Product number
- AP9351c - Provider product page

- Provider
- Abcepta
- Proper citation
- Abgent Cat#AP9351c, RRID:AB_10613707
- Product name
- HSD17B12 Antibody (Center)
- Antibody type
- Polyclonal
- Antigen
- Synthetic peptide
- Description
- Peptide Affinity Purified Rabbit Polyclonal Antibody (Pab)
- Reactivity
- Human
- Host
- Rabbit
- Isotype
- IgG
- Vial size
- 400 µl
- Concentration
- 0.5 mg/ml
- Storage
- Maintain refrigerated at 2-8°C for up to 6 months. For long term storage store at -20°C in small aliquots to prevent freeze-thaw cycles.
No comments: Submit comment
Supportive validation
- Submitted by
- Abcepta (provider)
- Main image

- Experimental details
- "HSD17B12 Antibody (Center) (Cat. #AP9351c) western blot analysis in A431,SiHa cell line lysates (35ug/lane).This demonstrates the HSD17B12 antibody detected the HSD17B12 protein (arrow)."
- Primary Ab dilution
- 1:1000
Supportive validation
- Submitted by
- Abcepta (provider)
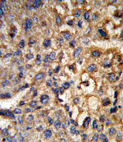
- Main image

- Experimental details
- "Formalin-fixed and paraffin-embedded human hepatocarcinoma reacted with HSD17B12 Antibody (Center), which was peroxidase-conjugated to the secondary antibody, followed by DAB staining. This data demonstrates the use of this antibody for immunohistochemistry; clinical relevance has not been evaluated."
- Primary Ab dilution
- 1:10~50
Supportive validation
- Submitted by
- Abcepta (provider)
- Main image

- Experimental details
- HSD17B12 Antibody (Center) (Cat. #AP9351c) flow cytometric analysis of A2058 cells (right histogram) compared to a negative control cell (left histogram).FITC-conjugated goat-anti-rabbit secondary antibodies were used for the analysis.
- Primary Ab dilution
- 1:10~50