Antibody data
- Antibody Data
- Antigen structure
- References [0]
- Comments [0]
- Validations
- Immunocytochemistry [2]
- Immunohistochemistry [2]
Submit
Validation data
Reference
Comment
Report error
- Product number
- BS-1234R - Provider product page

- Provider
- Invitrogen Antibodies
- Product name
- RASSF1 Polyclonal Antibody
- Antibody type
- Polyclonal
- Antigen
- Synthetic peptide
- Reactivity
- Human, Mouse, Rat
- Host
- Rabbit
- Isotype
- IgG
- Vial size
- 100 µL
- Concentration
- 1 mg/mL
- Storage
- -20°C
No comments: Submit comment
Supportive validation
- Submitted by
- Invitrogen Antibodies (provider)
- Main image

- Experimental details
- Formalin-fixed and paraffin-embedded human oral squamous cell labeled with Anti-RASSF1A Polyclonal Antibody, Unconjugated(bs-1234R) 1:200, overnight at 4°C, The secondary antibody was Goat Anti-Rabbit IgG, FITC conjugated(bs-0295G-FTIC)used at 1:200 dilution for 40 minutes at 37°C.
- Submitted by
- Invitrogen Antibodies (provider)
- Main image

- Experimental details
- Formalin-fixed and paraffin-embedded human oral squamous cell labeled with Anti-RASSF1A Polyclonal Antibody, Unconjugated(bs-1234R) 1:200, overnight at 4°C, The secondary antibody was Goat Anti-Rabbit IgG, PE conjugated(bs-0295G-PE)used at 1:200 dilution for 40 minutes at 37°C.
Supportive validation
- Submitted by
- Invitrogen Antibodies (provider)
- Main image

- Experimental details
- Formalin-fixed and paraffin embedded rat brain labeled with Anti-RASSF1A Polyclonal Antibody, Unconjugated (bs-1234R) at 1:200 followed by conjugation to the secondary antibody and DAB staining.
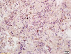
- Submitted by
- Invitrogen Antibodies (provider)
- Main image

- Experimental details
- Formalin-fixed and paraffin embedded human lung carcinoma labeled with Anti-RASSF1A Polyclonal Antibody, Unconjugated (bs-1234R) at 1:200 followed by conjugation to the secondary antibody and DAB staining.