Antibody data
- Antibody Data
- Antigen structure
- References [0]
- Comments [0]
- Validations
- Western blot [1]
- Immunohistochemistry [5]
- Flow cytometry [1]
Submit
Validation data
Reference
Comment
Report error
- Product number
- NBP2-76948 - Provider product page

- Provider
- Novus Biologicals
- Product name
- Rabbit Polyclonal CCDC109A Antibody
- Antibody type
- Polyclonal
- Description
- Peptide affinity purified.
- Reactivity
- Human, Mouse, Rat
- Host
- Rabbit
- Isotype
- IgG
- Vial size
- 100 ul
- Storage
- Store at 4C short term. Aliquot and store at -20C long term. Avoid freeze-thaw cycles.
No comments: Submit comment
Supportive validation
- Submitted by
- Novus Biologicals (provider)
- Main image

- Experimental details
- Western Blot: CCDC109A Antibody [NBP2-76948] - Western blot analysis of MCU on different lysates using anti-MCU antibody at 1/500 dilution. Positive control: Lane1: A549 Lane3: mouse spleen tissue Lane2: HL-60 Lane4: mouse brain tissue
Supportive validation
- Submitted by
- Novus Biologicals (provider)
- Main image

- Experimental details
- Immunohistochemistry: CCDC109A Antibody [NBP2-76948] - Immunohistochemical analysis of paraffin-embedded human esophagus tissue using anti-MCU antibody. Counter stained with hematoxylin.
- Submitted by
- Novus Biologicals (provider)
- Main image

- Experimental details
- Immunohistochemistry: CCDC109A Antibody [NBP2-76948] - Immunohistochemical analysis of paraffin-embedded human colon tissue using anti-MCU antibody. Counter stained with hematoxylin.
- Submitted by
- Novus Biologicals (provider)
- Main image

- Experimental details
- Immunohistochemistry: CCDC109A Antibody [NBP2-76948] - Immunohistochemical analysis of paraffin-embedded rat cerebellum tissue using anti-MCU antibody. Counter stained with hematoxylin.
- Submitted by
- Novus Biologicals (provider)
- Main image

- Experimental details
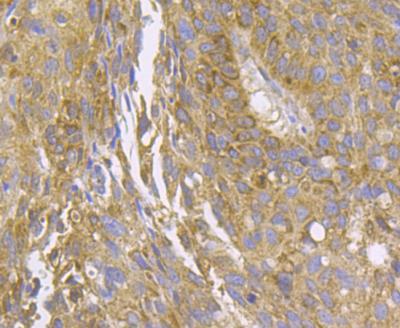
- Immunohistochemistry: CCDC109A Antibody [NBP2-76948] - Immunohistochemical analysis of paraffin-embedded human lung cancer tissue using anti-MCU antibody. Counter stained with hematoxylin.
- Submitted by
- Novus Biologicals (provider)
- Main image

- Experimental details
- Immunohistochemistry: CCDC109A Antibody [NBP2-76948] - Immunohistochemical analysis of paraffin-embedded mouse brain tissue using anti-MCU antibody. Counter stained with hematoxylin.
Supportive validation
- Submitted by
- Novus Biologicals (provider)
- Main image

- Experimental details
- Flow Cytometry: CCDC109A Antibody [NBP2-76948] - Flow cytometric analysis of A549 cells with MCU antibody at 1/100 dilution (red) compared with an unlabelled control (cells without incubation with primary antibody; black). Alexa Fluor 488-conjugated goat anti-rabbit IgG was used as the secondary antibody.