Antibody data
- Antibody Data
- Antigen structure
- References [0]
- Comments [0]
- Validations
- Immunocytochemistry [2]
- Immunohistochemistry [4]
Submit
Validation data
Reference
Comment
Report error
- Product number
- PA5-63306 - Provider product page

- Provider
- Invitrogen Antibodies
- Product name
- GLTP Polyclonal Antibody
- Antibody type
- Polyclonal
- Antigen
- Recombinant protein fragment
- Description
- Immunogen sequence: ALLAEHLLKP LPADKQIETG PFLEAVSHLP PFFDCLGSPV FTPIKADISG Highest antigen sequence identity to the following orthologs: Mouse - 96%, Rat - 96%.
- Reactivity
- Human
- Host
- Rabbit
- Isotype
- IgG
- Vial size
- 100 μL
- Concentration
- 0.2 mg/mL
- Storage
- Store at 4°C short term. For long term storage, store at -20°C, avoiding freeze/thaw cycles.
No comments: Submit comment
Supportive validation
- Submitted by
- Invitrogen Antibodies (provider)
- Main image

- Experimental details
- Immunofluorescent staining of GLTP in human cell line PC-3 using a GLTP Polyclonal Antibody (Product # PA5-63306) shows localization to cytosol.
- Submitted by
- Invitrogen Antibodies (provider)
- Main image

- Experimental details
- Immunofluorescent staining of GLTP in human cell line PC-3 using a GLTP Polyclonal Antibody (Product # PA5-63306) shows localization to cytosol.
Supportive validation
- Submitted by
- Invitrogen Antibodies (provider)
- Main image

- Experimental details
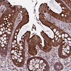
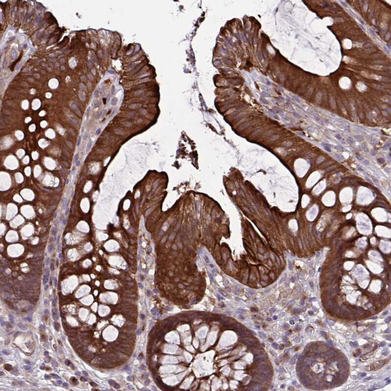
- Immunohistochemical analysis of GLTP in human colon using GLTP Polyclonal Antibody (Product # PA5-63306) shows strong cytoplasmic positivity in glandular cells.
- Submitted by
- Invitrogen Antibodies (provider)
- Main image

- Experimental details
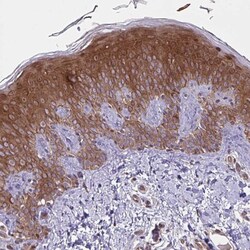
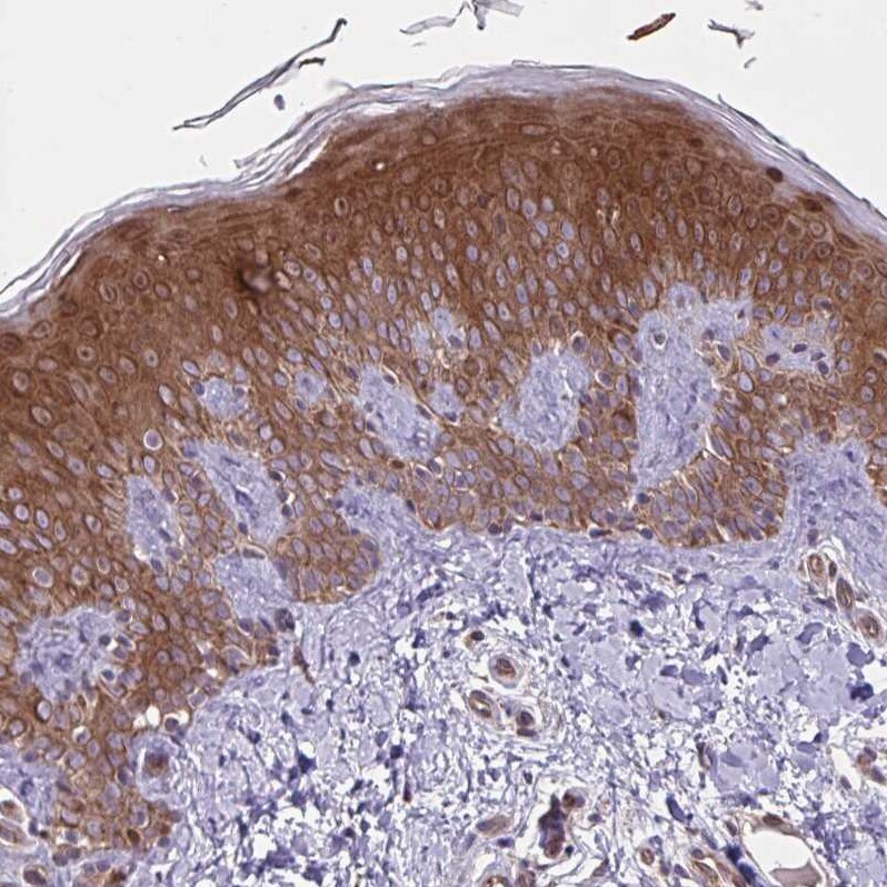
- Immunohistochemical analysis of GLTP in human skin using GLTP Polyclonal Antibody (Product # PA5-63306) shows strong cytoplasmic positivity in squamous epithelial cells.
- Submitted by
- Invitrogen Antibodies (provider)
- Main image

- Experimental details
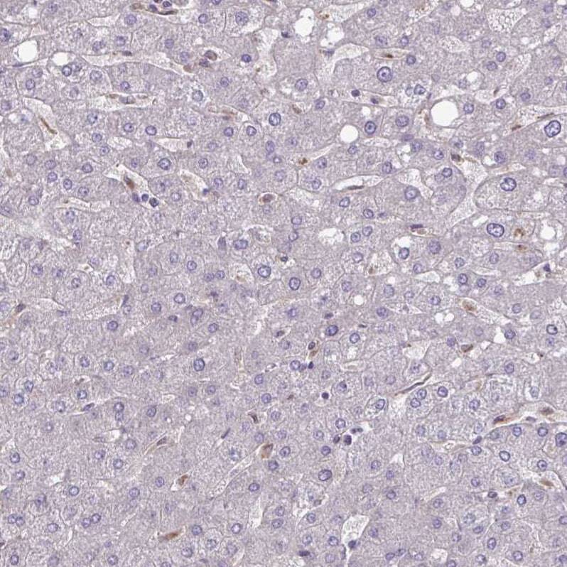
- Immunohistochemical analysis of GLTP in human liver using GLTP Polyclonal Antibody (Product # PA5-63306) shows no cytoplasmic positivity in hepatocytes as expected.
- Submitted by
- Invitrogen Antibodies (provider)
- Main image

- Experimental details
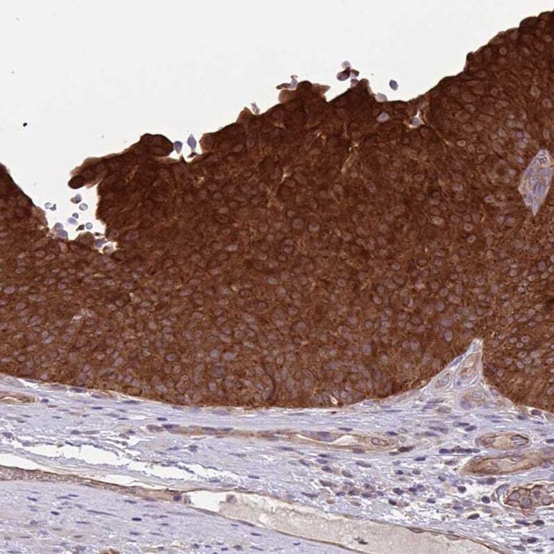
- Immunohistochemical analysis of GLTP in human urinary bladder using GLTP Polyclonal Antibody (Product # PA5-63306) shows strong cytoplasmic positivity in urothelial cells.