Antibody data
- Antibody Data
- Antigen structure
- References [0]
- Comments [0]
- Validations
- Western blot [1]
- Immunohistochemistry [7]
Submit
Validation data
Reference
Comment
Report error
- Product number
- TA804488 - Provider product page

- Provider
- OriGene
- Proper citation
- OriGene Cat#TA804488, RRID:AB_2627329
- Product name
- Purified PAFAH1B3 mouse monoclonal antibody, clone OTI5D2 (formerly 5D2)
- Antibody type
- Monoclonal
- Description
- Purified PAFAH1B3 mouse monoclonal antibody, clone OTI5D2 (formerly 5D2)
- Host
- Mouse
- Conjugate
- Unconjugated
- Epitope
- PAFAH1B3
- Isotype
- IgG
- Antibody clone number
- OTI5D2
- Vial size
- 100 µl
- Concentration
- 1 mg/ml
No comments: Submit comment
Supportive validation
- Submitted by
- OriGene (provider)
- Main image

- Experimental details
- HEK293T cells were transfected with the pCMV6-ENTRY control (Left lane) or pCMV6-ENTRY PAFAH1B3 (RC227227, Right lane) cDNA for 48 hrs and lysed. Equivalent amounts of cell lysates (5 ug per lane) were separated by SDS-PAGE and immunoblotted with anti-PAFAH1B3.
- Validation comment
- WB
Supportive validation
- Submitted by
- OriGene (provider)
- Main image

- Experimental details
- Immunohistochemical staining of paraffin-embedded Human pancreas tissue within the normal limits using anti-PAFAH1B3 mouse monoclonal antibody. (TA804488) Dilution: 1:150
- Validation comment
- IHC
- Submitted by
- OriGene (provider)
- Main image

- Experimental details
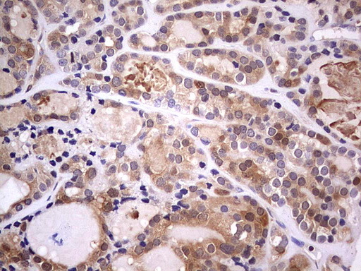
- Immunohistochemical staining of paraffin-embedded Carcinoma of Human pancreas tissue using anti-PAFAH1B3 mouse monoclonal antibody. (TA804488) Dilution: 1:150
- Validation comment
- IHC
- Submitted by
- OriGene (provider)
- Main image

- Experimental details
- Immunohistochemical staining of paraffin-embedded Human prostate tissue within the normal limits using anti-PAFAH1B3 mouse monoclonal antibody. (TA804488) Dilution: 1:150
- Validation comment
- IHC
- Submitted by
- OriGene (provider)
- Main image

- Experimental details
- Immunohistochemical staining of paraffin-embedded Carcinoma of Human prostate tissue using anti-PAFAH1B3 mouse monoclonal antibody. (TA804488) Dilution: 1:150
- Validation comment
- IHC
- Submitted by
- OriGene (provider)
- Main image

- Experimental details
- Immunohistochemical staining of paraffin-embedded Adenocarcinoma of Human colon tissue using anti-PAFAH1B3 mouse monoclonal antibody. (TA804488) Dilution: 1:150
- Validation comment
- IHC
- Submitted by
- OriGene (provider)
- Main image

- Experimental details
- Immunohistochemical staining of paraffin-embedded Carcinoma of Human kidney tissue using anti-PAFAH1B3 mouse monoclonal antibody. (TA804488) Dilution: 1:150
- Validation comment
- IHC
- Submitted by
- OriGene (provider)
- Main image

- Experimental details
- Immunohistochemical staining of paraffin-embedded Carcinoma of Human thyroid tissue using anti-PAFAH1B3 mouse monoclonal antibody. (TA804488) Dilution: 1:150
- Validation comment
- IHC