Antibody data
- Antibody Data
- Antigen structure
- References [0]
- Comments [0]
- Validations
- Western blot [2]
- Immunohistochemistry [4]
Submit
Validation data
Reference
Comment
Report error
- Product number
- LS-C375850 - Provider product page

- Provider
- LSBio
- Product name
- GSTA2 Antibody (aa1-222) LS-C375850
- Antibody type
- Polyclonal
- Description
- Immunoaffinity purified
- Reactivity
- Human, Mouse
- Host
- Rabbit
- Isotype
- IgG
- Storage
- Short term: -20°C; Long term: -80°C; Avoid freeze-thaw cycles.
No comments: Submit comment
Enhanced validation
- Submitted by
- LSBio (provider)
- Enhanced method
- Genetic validation
- Main image

- Experimental details
- Western blot. All lanes: Glutathione S-transferase A2 antibody at 4 ug/ml+mouse liver tissue. Secondary antibody: Goat polyclonal to rabbit at 1:10000 dilution. Predicted band size: 26 kDa. Observed band size: 26 kDa Immunohistochemistry.
- Submitted by
- LSBio (provider)
- Enhanced method
- Genetic validation
- Main image

- Experimental details
- Western blot All lanes: Glutathione S-transferase A2 antibody at 4µg/ml + Mouse liver tissue Secondary Goat polyclonal to rabbit IgG at 1/10000 dilution Predicted band size: 26 kDa Observed band size: 26 kDa
Enhanced validation
- Submitted by
- LSBio (provider)
- Enhanced method
- Genetic validation
- Main image

- Experimental details
- Immunohistochemistry of paraffin-embedded human liver cancer using antibody at 1:100 dilution.
- Submitted by
- LSBio (provider)
- Enhanced method
- Genetic validation
- Main image

- Experimental details
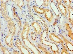
- Immunohistochemistry of paraffin-embedded human kidney using antibody at 1:100 dilution.
- Submitted by
- LSBio (provider)
- Enhanced method
- Genetic validation
- Main image

- Experimental details
- Immunohistochemistry of paraffin-embedded human liver cancer using antibody at 1:100 dilution.
- Submitted by
- LSBio (provider)
- Enhanced method
- Genetic validation
- Main image

- Experimental details
- Immunohistochemistry of paraffin-embedded human kidney using antibody at 1:100 dilution.