Antibody data
- Antibody Data
- Antigen structure
- References [0]
- Comments [0]
- Validations
- Immunohistochemistry [1]
Submit
Validation data
Reference
Comment
Report error
- Product number
- PA5-50241 - Provider product page

- Provider
- Invitrogen Antibodies
- Product name
- NAIF1 Polyclonal Antibody
- Antibody type
- Polyclonal
- Antigen
- Other
- Description
- The antibody detects endogenous levels of total NAIF1 protein.
- Reactivity
- Human
- Host
- Rabbit
- Isotype
- IgG
- Vial size
- 100 μL
- Concentration
- 1.5 mg/mL
- Storage
- -20°C
No comments: Submit comment
Supportive validation
- Submitted by
- Invitrogen Antibodies (provider)
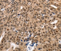
- Main image

- Experimental details
- Immunohistochemical analysis of NAIF1 in paraffin embedded Human ovarian cancer tissue using NAIF1 Polyclonal Antibody (Product # PA5-50241) at a 1:60 dilution.