Antibody data
- Antibody Data
- Antigen structure
- References [0]
- Comments [0]
- Validations
- Western blot [1]
- Immunocytochemistry [1]
- Immunohistochemistry [1]
Submit
Validation data
Reference
Comment
Report error
- Product number
- LS-C185610 - Provider product page

- Provider
- LSBio
- Product name
- TNFRSF19L / RELT Antibody (aa35-396) LS-C185610
- Antibody type
- Polyclonal
- Description
- Immunoaffinity purified
- Reactivity
- Human
- Host
- Rabbit
- Isotype
- IgG
- Storage
- Keep as concentrated solution. Aliquot and store at -20°C or below. Avoid multiple freeze-thaw cycles.
No comments: Submit comment
Enhanced validation
- Submitted by
- LSBio (provider)
- Enhanced method
- Genetic validation
- Main image

- Experimental details
- Sample (30 ug whole cell lysate). A: HeLa S3. 10% SDS PAGE. TNFRSF19L / RELT antibody diluted at 1:1000
Supportive validation
- Submitted by
- LSBio (provider)
- Main image

- Experimental details
- Immunofluorescence of methanol-fixed A431 using RELT antibody at 1:200 dilution.
Supportive validation
- Submitted by
- LSBio (provider)
- Enhanced method
- Genetic validation
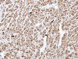
- Main image

- Experimental details
- IHC of paraffin-embedded U87 xenograft using RELT antibody at 1:100 dilution.